|
||
|
|
|
|
|
|
![]() |
![]() |
![]() |



![]() |
||
|
|
|
|
|
|
![]() |
![]() |
![]() |
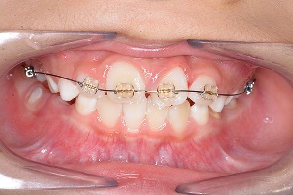
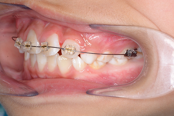
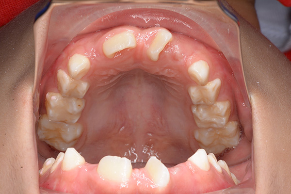
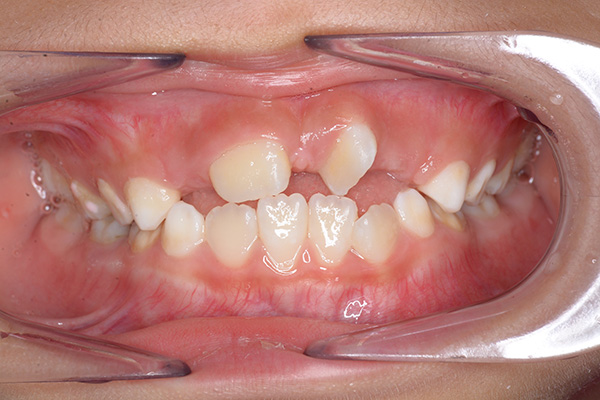
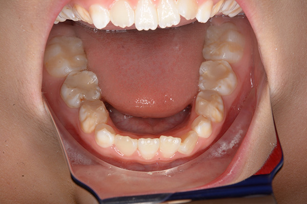
| 主訴 | 上顎前歯のでこぼこ | 診断名 | アングルⅡ級叢生症例 | ||||
|---|---|---|---|---|---|---|---|
| 初診時年齢 | 6歳9ヵ月 | 性別 | 男 | 動的治療期間 | 6ヵ月 | ||
| 抜歯部位 | ![]() |
||||||
| 使用装置 | 0.018" × 0.025" standard edgewise | ||||||
| その他装置 | - | ||||||
| 口腔内ゴムの使用 | - | ||||||
| 保定装置 | 上顎 Begg Type Retainer、下顎 Begg Type Retainer | ||||||
| 治療費用(税別) | |||
|---|---|---|---|
| 装置料 | プラスチックブラケット(15万円) | 処置料 | 5千円×6回 |
| 保定装置料 | 3万円 | 経過観察 | 3千円×10回 |
| 診断時の特記事項 | |
|---|---|
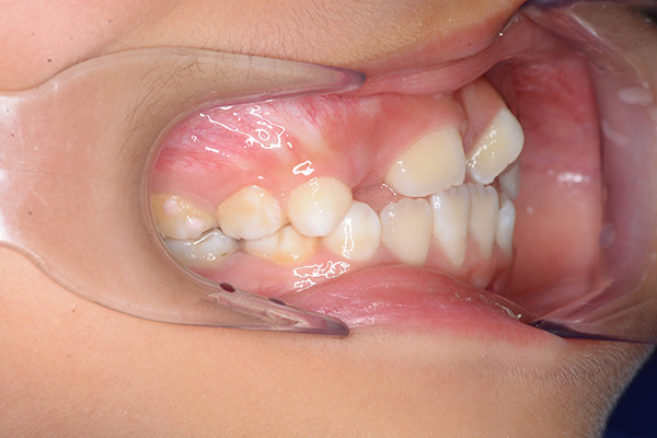
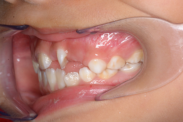
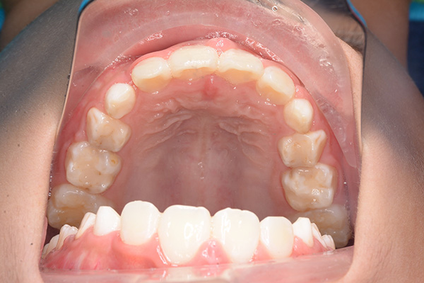
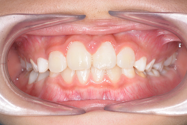
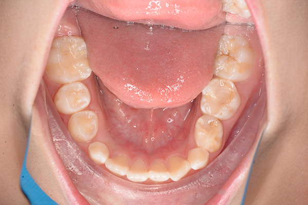
| 既往歴として上顎正中過剰歯(2本)は抜去済み。その影響で上顎右側中切歯は捻転して萌出しており、下顎右側中切歯と早期接触が認められたため2x4(上顎のみブラケット装着)にて前歯部の改善を行った。現在は永久歯列完成まで経過観察を行い、希望があれば口元の突出感を改善するために本格矯正治療を行うことにしている。 | |
| X-Ray所見 | |
| セファロ所見 | 上下顎骨は調和のとれた位置関係を示していたが、頭蓋に対して両顎共に前方に位置していた。上下顎前歯は唇側傾斜していた。 |
| パノラマ所見 | 過剰歯抜歯後は特に問題ない。 |
| 批評・予后・リスク | |
| 批評・予后 | 早期治療によって前歯部の咬合干渉は回避され、その後の永久歯への交換は順調である。 |
| リスク | 通院間隔が長くなったり顎間ゴムの協力が得られないと予定の治療期間より延長したり仕上がりが不十分になる恐れがあります。 ブラッシングを怠ると虫歯のリスクが高くなります。 |