上顎前突

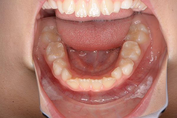
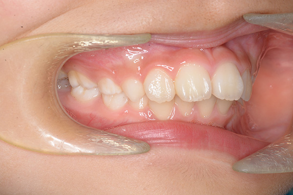
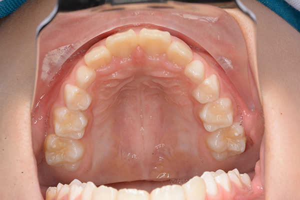
初診時

FP・IOP
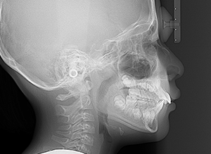
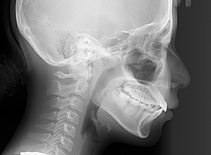
X-Ray

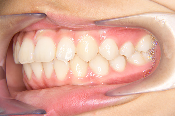
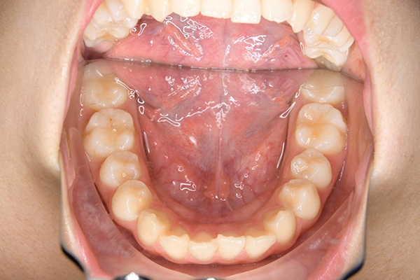
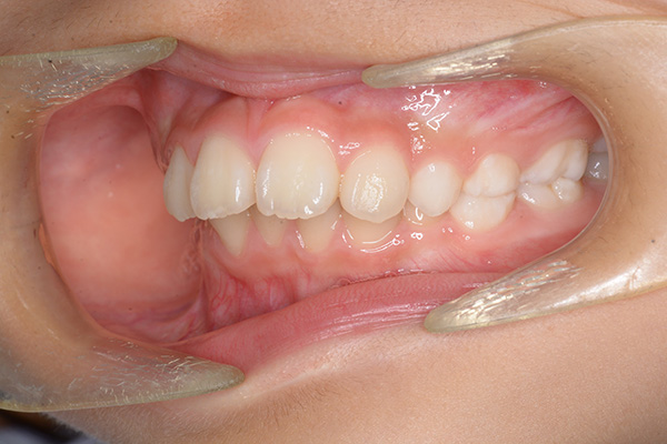
動的治療終了時

FP・IOP
X-Ray
主訴 出っ歯 診断名 アングルⅡ級1類
初診時年齢 7歳0ヵ月 性別 動的治療期間 28ヵ月
抜歯部位
使用装置 バイオネーター
その他装置 -
口腔内ゴムの使用 -
保定装置 -
治療費用(税別)
装置料 30万円 処置料 -
保定装置料 - 経過観察 3千円×28回
診断時の特記事項
顔貌所見 正貌はほぼ左右対称。側貌はstraight type,軟組織上の問題は認められない。
口腔内所見 over jet 7.5mm,over bite 3.5mm,大臼歯関係はⅡ級 。Hellmanのdental ageはⅢAであり上突咬合を呈していた。
X-Ray所見
セファロ所見 SNAは84.3°、SNBは77.2°、ANBは7.1°とskeletal ClassⅡ、垂直的にはロウアングルの骨格形態をしていた。 上顎前歯は唇側傾斜を呈していた。
パノラマ所見 後継永久歯の歯数や萌出方向の異常は認められなかった。
批評・予后・リスク
批評・予后 本来であれば永久歯歯列完成後に本格矯正治療を行って良い症例だが、患者さん(保護者)の強い希望から早期治療にて改善を行った症例である。バイオネーターを夜間就寝中に使用して咬合誘導を行った結果、前歯の前突感は解消され比較的緊密な咬合は得られたように思う。
リスク 通院間隔が長くなったり顎間ゴムの協力が得られないと予定の治療期間より延長したり仕上がりが不十分になる恐れがあります。
ブラッシングを怠ると虫歯のリスクが高くなります。