下顎前突

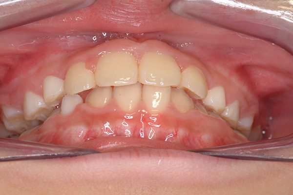
初診時

FP・IOP
X-Ray

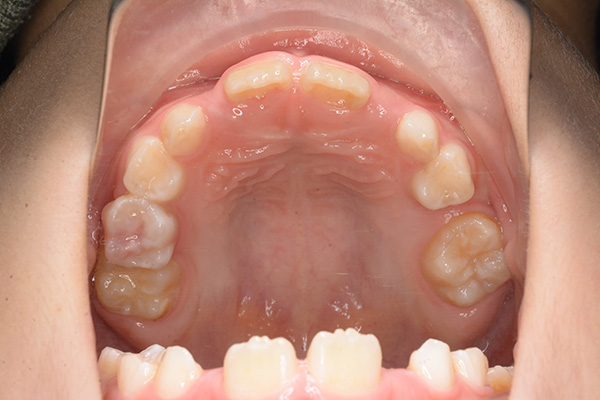
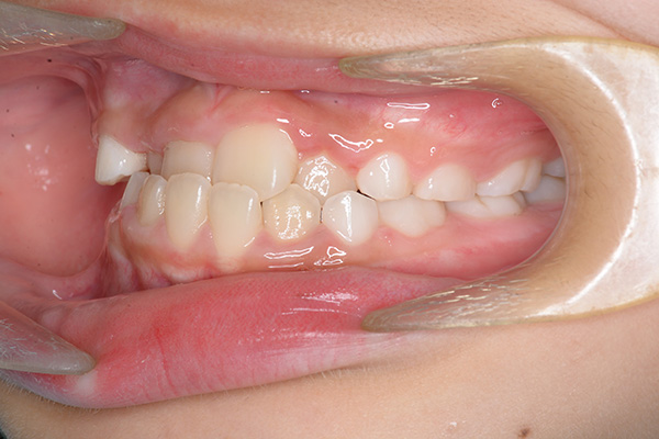
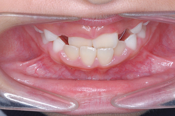
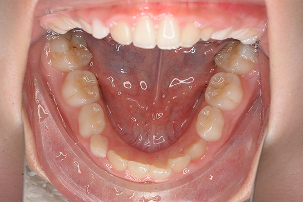
動的治療開始前(9歳7ヵ月)

動的治療開始前
(9歳7ヵ月)

IOP

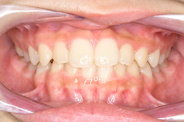
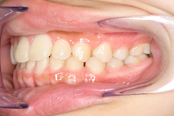
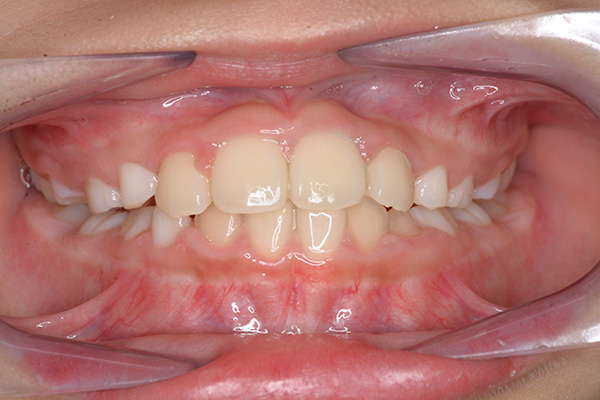
動的治療終了時

FP・IOP
X-Ray

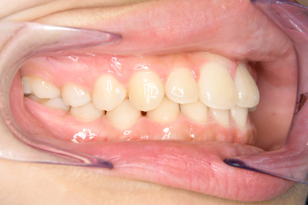
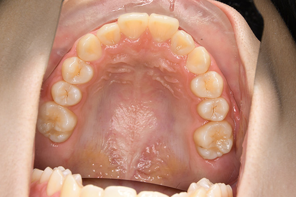
経過観察(13歳10ヵ月)

経過観察
(13歳10ヵ月)

IOP
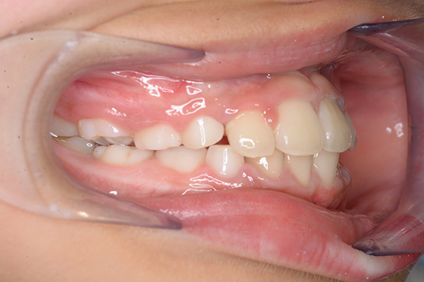
主訴 反対咬合 診断名 前歯部反対咬合
初診時年齢 8歳7ヵ月 性別 動的治療期間 6ヵ月
抜歯部位
使用装置 0.018" × 0.025" standard edgewise
その他装置 -
口腔内ゴムの使用 -
保定装置 -
治療費用(税別)
装置料 20万円 処置料 5千円×6回
保定装置料 - 経過観察 3千円×15回
診断時の特記事項
顔貌所見 正貌はほぼ左右対称。側貌はconvex typeでありNasolabial Angleは鋭角であった。
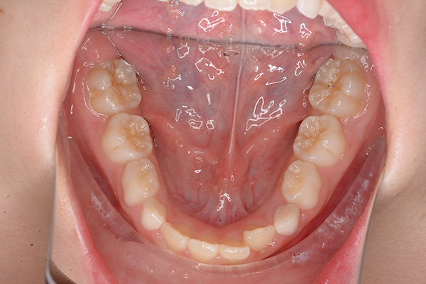
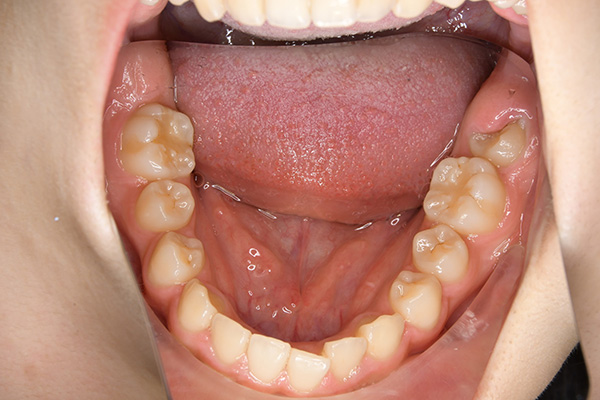
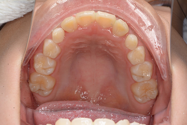
口腔内所見 over jet -2.5mm、over bite 2.0mm、大臼歯関係はⅠ級 。Hellmanのdental ageはⅡCであり前歯部は反対咬合を呈していた。
X-Ray所見
セファロ所見 下顎骨体部は大きく下顎枝は前傾しており下顎角は鈍角であった。上顎骨はやや劣位で奥行きがなく下顔面高は高くなっていた。
家族歴や側貌所見、下顎は大きいもののANBは2°でSellaに対して下顎頭は後方に位置していることなどから将来的に重度な下顎前突へ移行することは少ないと予測できた。
パノラマ所見 上顎アーチレングスディスクレパンシー(-)であるが、その他の異常所見は認められなかった。
批評・予后・リスク
批評・予后 上顎前歯のアライメントを行ったことで、ロッキングされていた上顎歯槽基底骨の成長に良い影響が生じており、側方歯群の交換も順調に進んでいる症例である。2期治療は相談の上、希望があれば行うこととしている。
リスク 通院間隔が長くなったり顎間ゴムの協力が得られないと予定の治療期間より延長したり仕上がりが不十分になる恐れがあります。
ブラッシングを怠ると虫歯のリスクが高くなります。