|
||
|
|
|
|
|
|
![]() |
![]() |
![]() |
|
||
|
|
|
|
|
|
![]() |
![]() |
![]() |



| 主訴 | 上顎犬歯の位置異常 | 診断名 | 上顎左右側犬歯埋伏歯症 | ||||
|---|---|---|---|---|---|---|---|
| 初診時年齢 | 11歳0ヵ月 | 性別 | 男 | 動的治療期間 | 11ヵ月 | ||
| 抜歯部位 | ![]() |
||||||
| 使用装置 | 0.018" × 0.025" standard edgewise | ||||||
| その他装置 | - | ||||||
| 口腔内ゴムの使用 | - | ||||||
| 保定装置 | 上顎 Begg Type Retainer | ||||||
| 治療費用(税別) | |||
|---|---|---|---|
| 装置料 | 20万円 | 処置料 | 5千円×11回 |
| 保定装置料 | 3万円 | 経過観察 | 3千円×15回 |
| 診断時の特記事項 | |
|---|---|
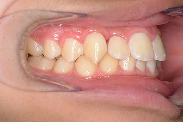
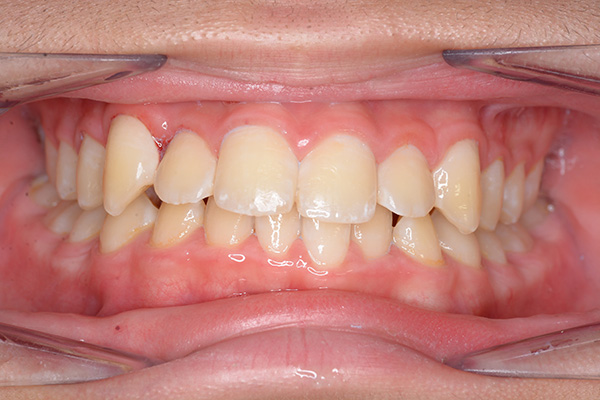
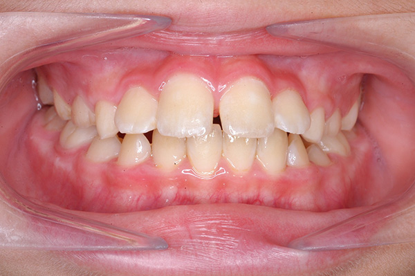
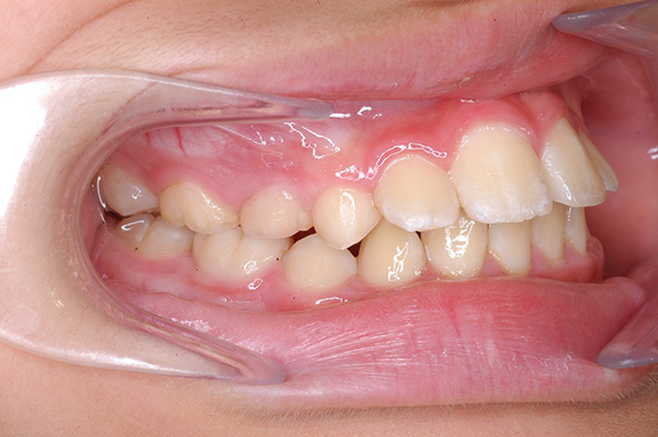
| 顔貌所見 | 正貌はほぼ左右対称。側貌はconvex type、口唇閉鎖不全、口元の突出感が認められた。 |
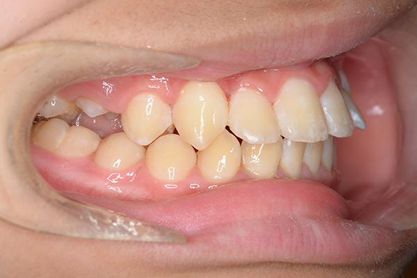
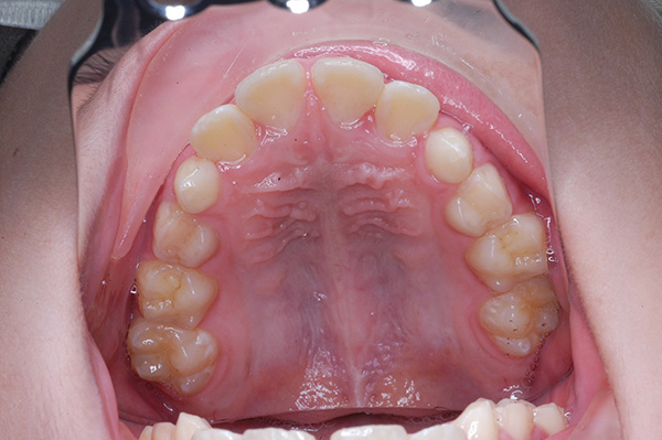
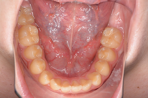
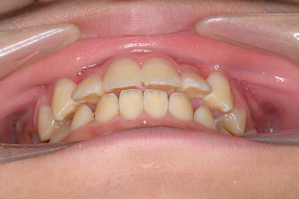
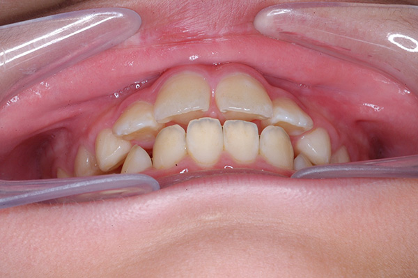
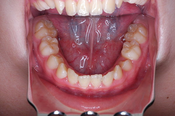
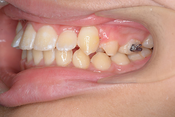
| 口腔内所見 | over jet 5.5mm,over bite 5.0mm,大臼歯関係はⅠ級 、Hellmanのdental ageはⅢBであり上突歯列を呈していた。 |
| X-Ray所見 | |
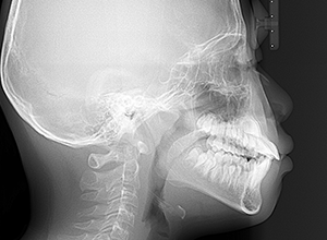
| セファロ所見 | Sellaに対して下顎頭は後方位だが下顎骨は大きくしっかりとした形態をしており前後的にはⅠ級、垂直的にはロウアングルの骨格形態をしていた。 上顎前歯は唇側傾斜を呈していた。 |
| パノラマ所見 | 上顎左右側犬歯は近心傾斜し側切歯歯根に重なるように認められた。 |
| 批評・予后・リスク | |
| 批評・予后 | 埋伏歯の牽引を行い位置異常の改善をした結果、適切な犬歯のガイドが得られ、ほぼ緊密な咬合となったように思う。口元の改善を希望された場合は小臼歯抜歯症例として本格矯正治療を行う予定である。 |
| リスク | 通院間隔が長くなったり顎間ゴムの協力が得られないと予定の治療期間より延長したり仕上がりが不十分になる恐れがあります。 ブラッシングを怠ると虫歯のリスクが高くなります。 |