




![]() |















![]() |





| 主訴 | 上顎6の近心傾斜、5萌出部位不足 | 診断名 | アングルⅡ級叢生症例 | ||||
|---|---|---|---|---|---|---|---|
| 初診時年齢 | 8歳9ヵ月 | 性別 | 女 | 動的治療期間 | 4ヵ月 | ||
| 抜歯部位 | ![]() |
||||||
| 保定期間 | 9ヵ月 | ||||||
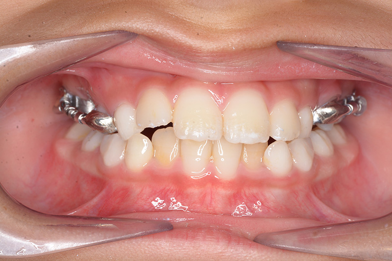
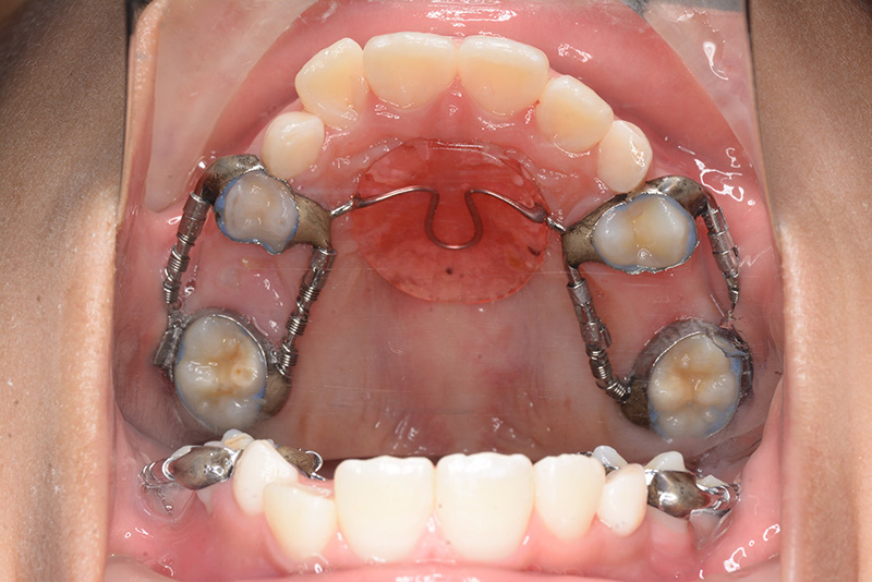
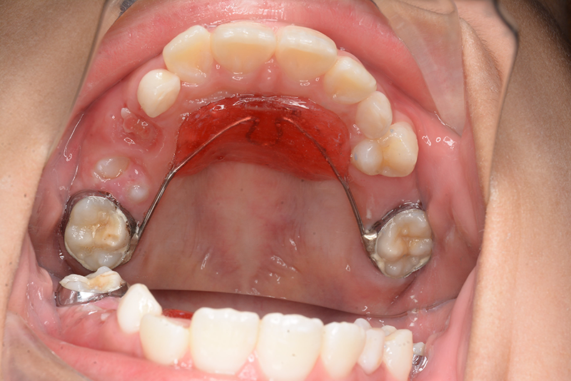
| 使用装置 | GMD、Nanceホールディングアーチ | ||||||
| その他装置 | - | ||||||
| 口腔内ゴムの使用 | - | ||||||
| 保定装置 | - | ||||||
| 治療費用(税別) | |||
|---|---|---|---|
| 装置料 | 8万円(5万円、3万円) | 処置料 | 5千円×4回 |
| 保定装置料 | - | 経過観察 | 3千円×5回 |
| 診断時の特記事項 | |
|---|---|
| 顔貌所見 | 正貌はほぼ左右対称。側貌はstraight type、引き締まった口唇形態をしていた。 |
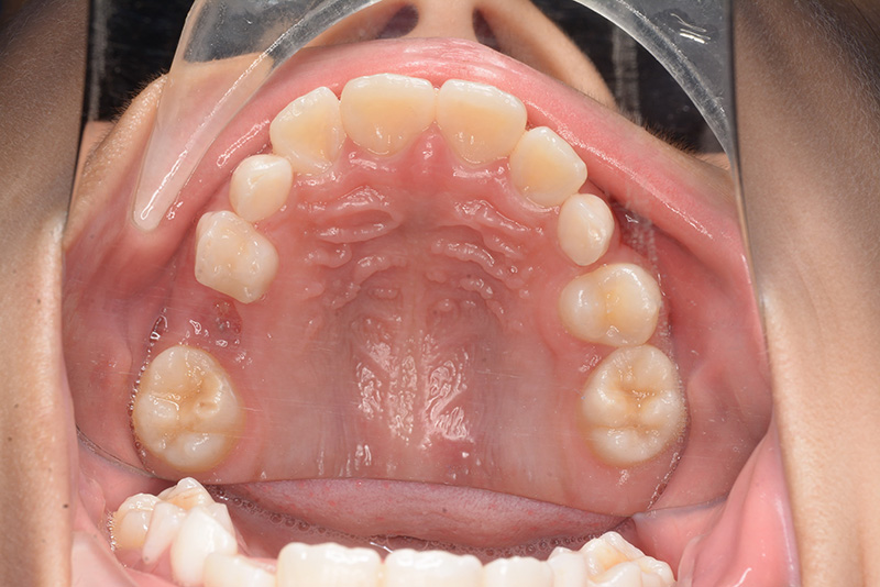
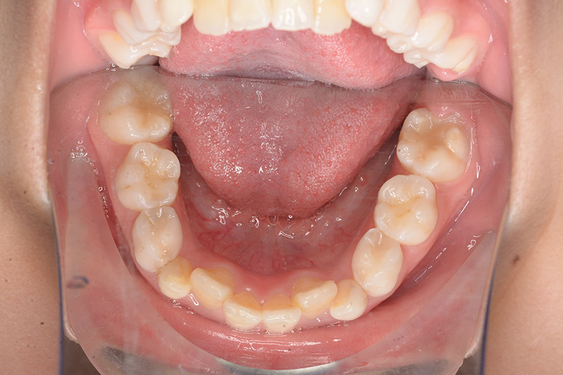
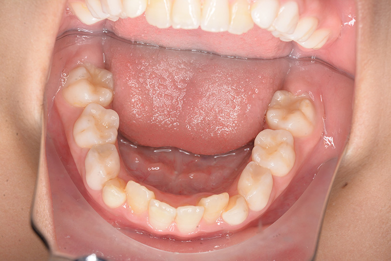
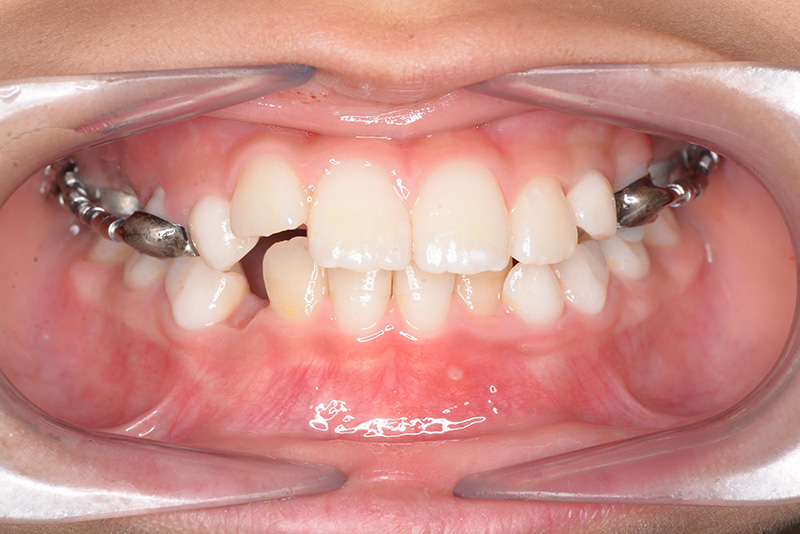
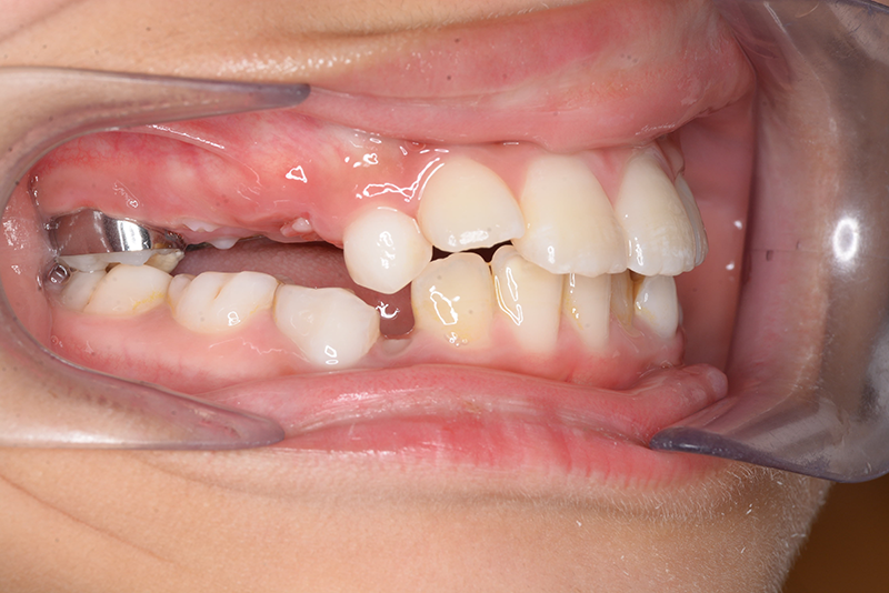
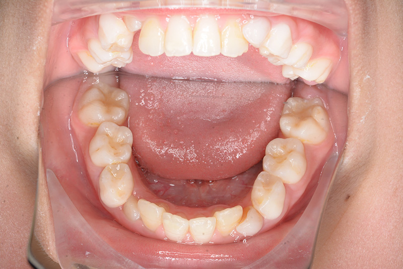
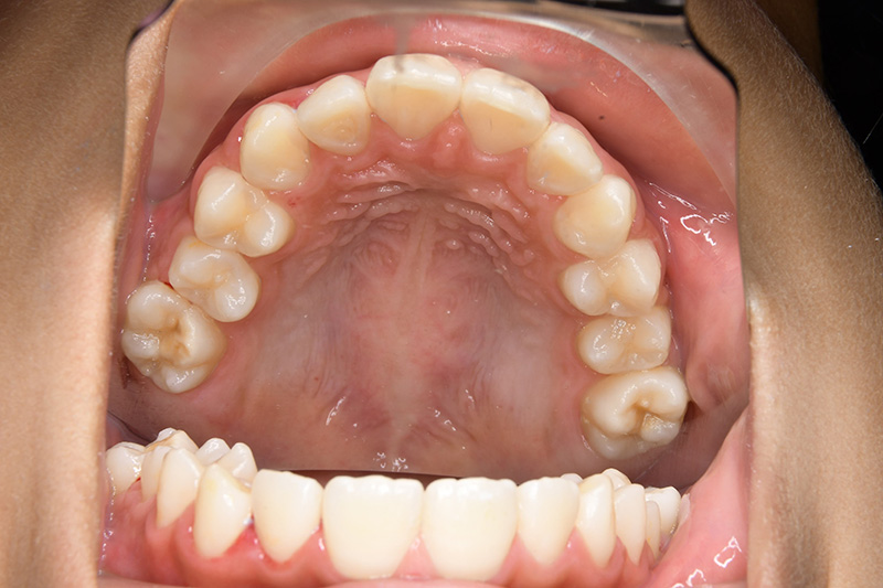
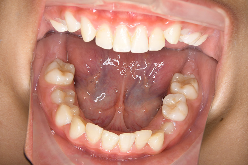
| 口腔内所見 | over jet 2.5mm、over bite 2.0mm、右側大臼歯関係はEnd on class Ⅱ、上顎左側Eは早期喪失により左側大臼歯関係はFull classⅡ、右側Eは6の異所萌出により歯根吸収が進行したため一般歯科医院にて抜去済みであった。 |
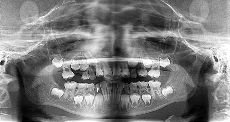
| X-Ray所見 | |
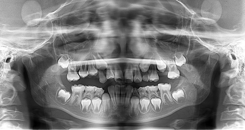
| パノラマ所見 | 上顎両側6、特に左側6は近心傾斜が認められ、両側5の萌出スペース不足が認められた。 |
| 批評・予后・リスク | |
| 批評・予后 | 早期に6の遠心移動を行いナンスのホールディングアーチにて保隙をした結果、5は良好な状態で萌出できたように思う。 今後は永久歯列完成まで経過観察を行っていく予定である。 |
| リスク | 通院間隔が長くなったり顎間ゴムの協力が得られないと予定の治療期間より延長したり仕上がりが不十分になる恐れがあります。 ブラッシングを怠ると虫歯のリスクが高くなります。 |