




![]() |
![]() |










![]() |





![]() |
![]() |
| 主訴 | 右下6近心傾斜、上顎前歯のでこぼこ | 診断名 | 下顎右側第一大臼歯近心傾斜、 上顎左側第一大臼歯近心傾斜症例 |
||||
|---|---|---|---|---|---|---|---|
| 初診時年齢 | 11歳6ヵ月 | 性別 | 女 | 動的治療期間 | 5ヵ月 | ||
| 抜歯部位 | ![]() |
||||||
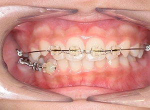
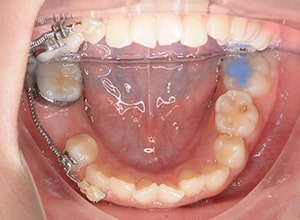
| 使用装置 | 0.018" × 0.025" standard edgewise | ||||||
| その他装置 | - | ||||||
| 口腔内ゴムの使用 | - | ||||||
| 保定装置 | 上顎 Begg Type Retainer | ||||||
| 治療費用(税別) | |||
|---|---|---|---|
| 装置料 | 30万円 | 処置料 | 5万円×5回 |
| 保定装置料 | 3万円 | 経過観察 | 3千円×15回 |
| 診断時の特記事項 | |
|---|---|
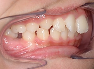
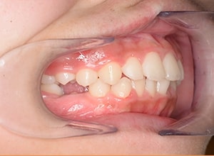
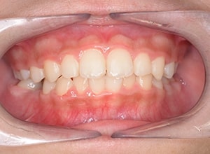
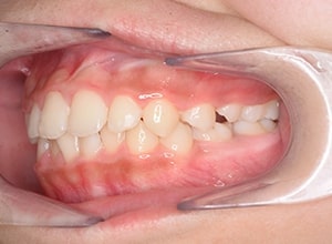
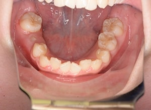
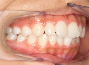
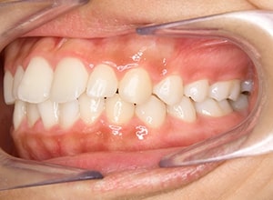
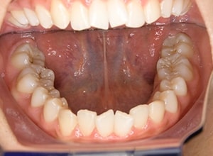
| 口腔内所見 | over jet 3.5mm,over bite4.0mm、下顎正中右側偏位2.0mm、大臼歯関係は左側Ⅰ級であったが、右下6は右下E早期喪失のため近心傾斜しておりⅢ級の臼歯関係となっていた。また上下顎前歯は軽度の叢生を呈していた。 |
| X-Ray所見 | |
| パノラマ所見 | 右下5は右下6近心傾斜により萌出部位不足が認められた。上下顎8歯胚が確認できた。 |
| 批評・予后・リスク | |
| 批評・予后 | 右下5及び7の萌出前に右下6を整直させることによって、右下5の自然萌出が可能となり正常咬合への咬合誘導が行えたと思う。 |
| リスク | 通院間隔が長くなったり顎間ゴムの協力が得られないと予定の治療期間より延長したり仕上がりが不十分になる恐れがあります。 ブラッシングを怠ると虫歯のリスクが高くなります。 |