|
||
|
|
|
|
|
|
![]() |
![]() |
![]() |
|
||
|
|
|
|
|
|
![]() |
![]() |
![]() |
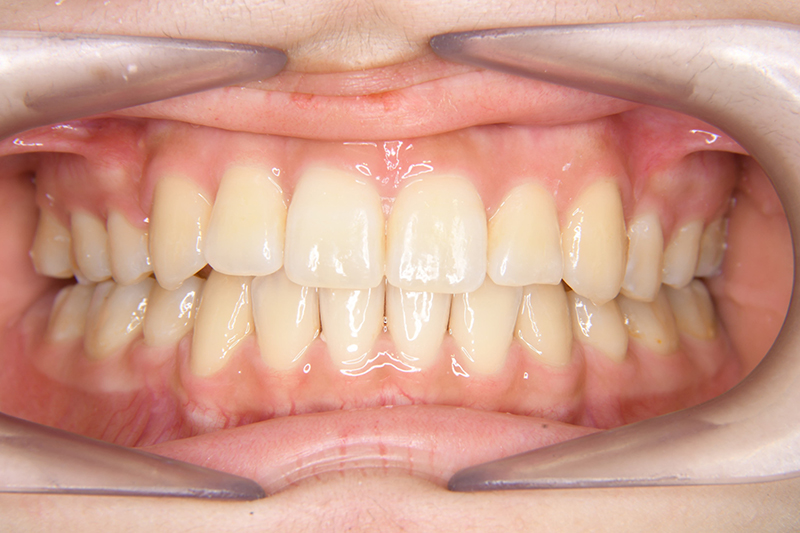
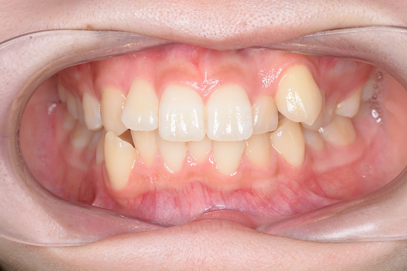
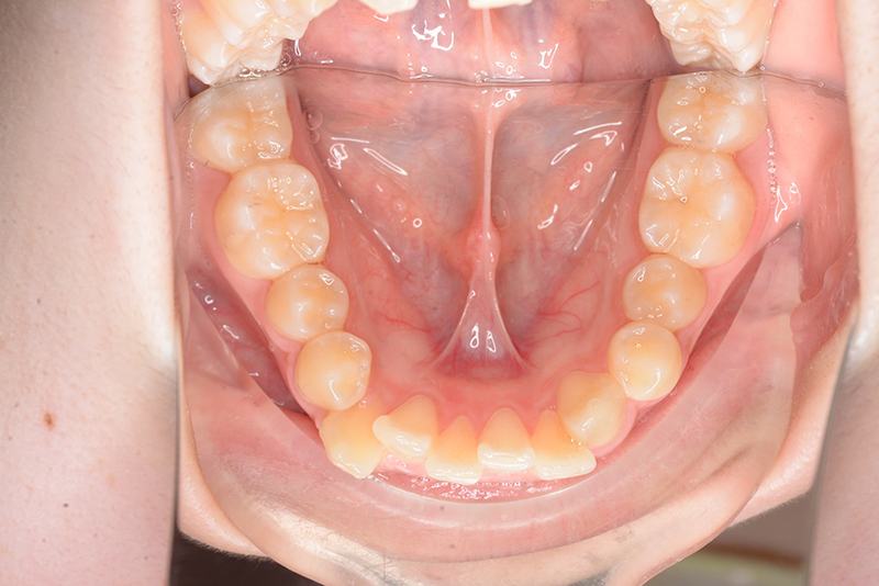
| 主訴 | 前歯のでこぼこ | 診断名 | アングルⅠ級叢生症例 | ||||
|---|---|---|---|---|---|---|---|
| 初診時年齢 | 15歳6ヵ月 | 性別 | 女 | 動的治療期間 | 23ヵ月 | ||
| 抜歯部位 | ![]() |
||||||
| 使用装置 | 0.018" × 0.025" standard edgewise | ||||||
| その他装置 | Palatal Arch | ||||||
| 口腔内ゴムの使用 | 12ヵ月 | ||||||
| 保定装置 | 上顎 Begg Type Retainer、下顎 Begg Type Retainer | ||||||
| 治療費用(税別) | |||
|---|---|---|---|
| 装置料 | プラスチック(60万円) | 処置料 | 1万円×22回 |
| 保定装置料 | 6万円 | 経過観察 | 3千円×9回 |
| 診断時の特記事項 | |
|---|---|
| 顔貌所見 | 正貌はほぼ左右対称、側貌はstraight typeで軽度に口唇閉鎖不全が認められた。 |
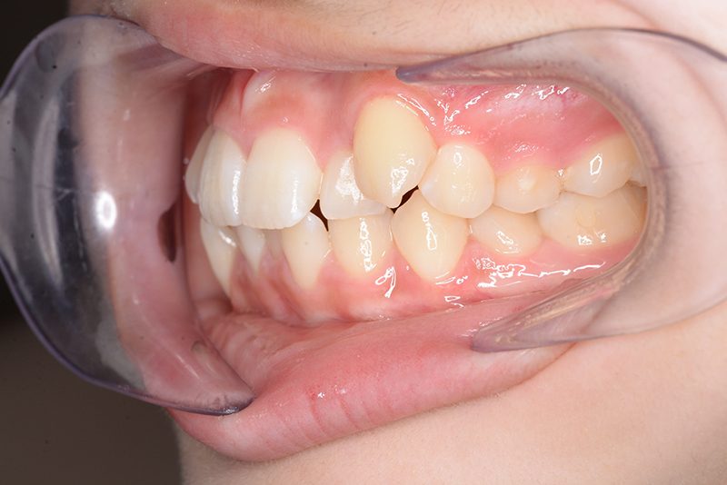
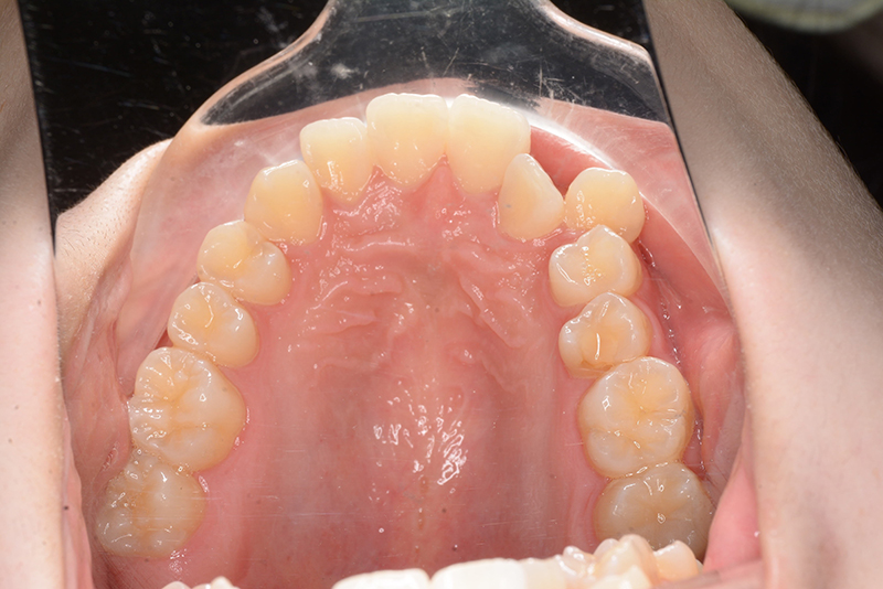
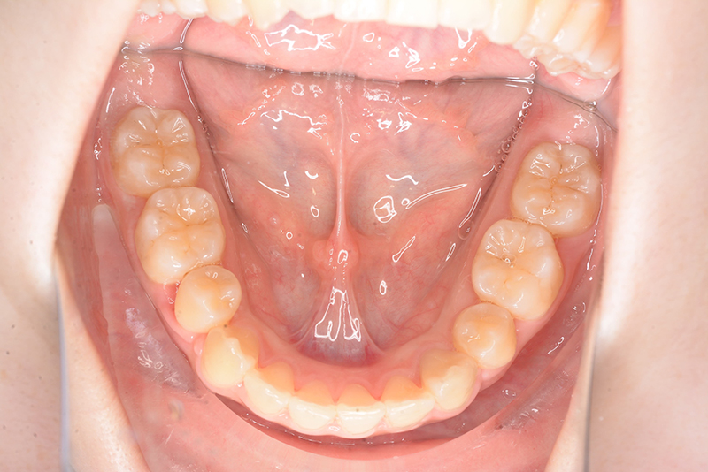
| 口腔内所見 | over jet 3.8mm、over bite 30mm、臼歯関係I級、上下顎前歯部に叢生が認められ、下顎正中は右側へ4.5mm偏位していた。左上5はCRの治療痕が認められた。 |
| X-Ray所見 | |
| セファロ所見 | 下顎頭はやや後方に位置しているが骨体部、下顎枝共に大きく上部構造体に対してバランスよく位置付いていた。中顔面は奥行きがあり下顔面高の高さは高くなかった。 |
| パノラマ所見 | 上顎両側第三大臼歯は欠損、下顎第三大臼歯は埋伏していた。 |
| 批評・予后・リスク | |
| 批評・予后 | 治療後において閉唇時の頤筋の過緊張の改善及び咬合の緊密化と歯根のパラレリングが認められ、良好な咬合が確立できたと思う。 現在は保定をしつつ下顎両側第三大臼歯抜歯の抜歯を検討している。 |
| リスク | 通院間隔が長くなったり顎間ゴムの協力が得られないと予定の治療期間より延長したり仕上がりが不十分になる恐れがあります。 ブラッシングを怠ると虫歯のリスクが高くなります。 |