リカバリー症例
(転医症例)

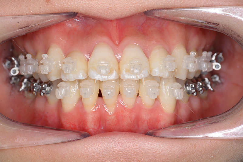
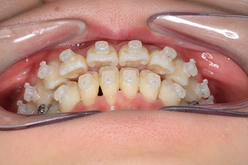
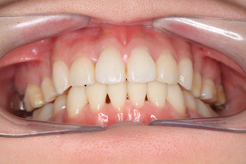
初診時

FP・IOP
X-Ray

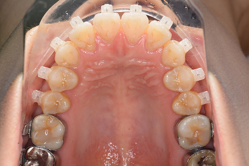
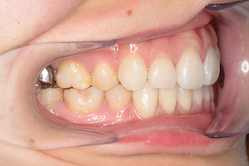
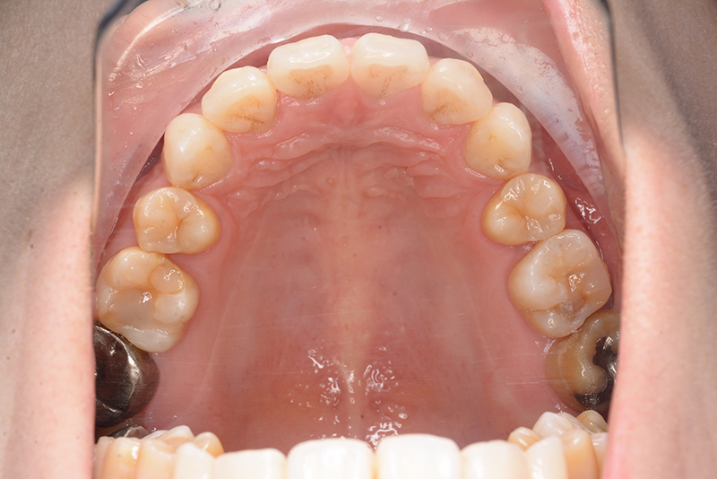
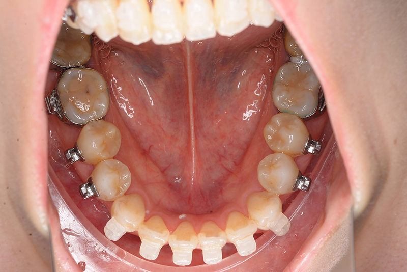
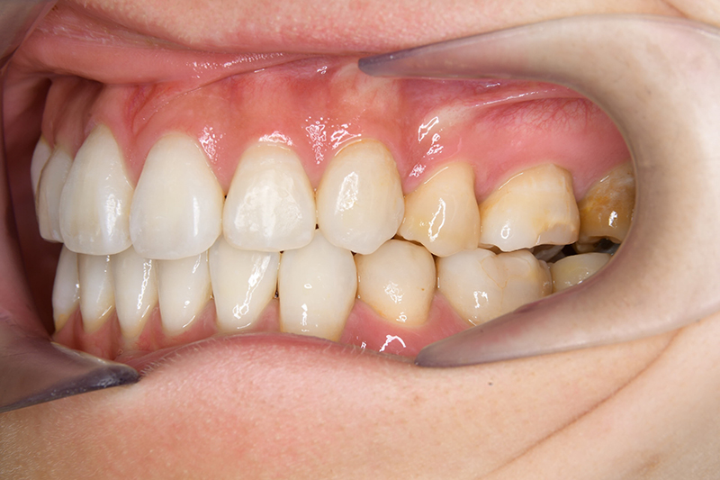
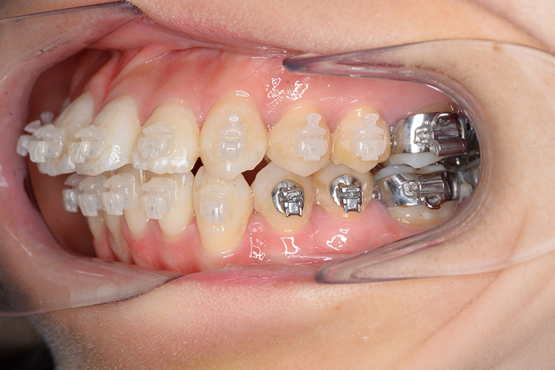
動的治療終了時

FP・IOP
X-Ray
主訴 口が閉じづらい 診断名 アングルⅠ級上下顎前突症例
初診時年齢 27歳2ヵ月 性別 動的治療期間 24ヵ月
抜歯部位
使用装置 0.018" × 0.025" standard edgewise
その他装置 -
口腔内ゴムの使用 Class 5ヵ月、Up&Down 6ヵ月
保定装置 上顎 Begg Type Retainer、下顎 Begg Type Retainer
治療費用(税別)
装置料 プラスチックブラケット(30万円)
※他医院からの転医(再治療)症例のため
割引価格にて治療
処置料 1万円×24回
保定装置料 6万円 経過観察 3千円×10回
診断時の特記事項
某矯正専門医院からの転医症例。治療中から口が閉じずらくなったことを主治医に訴えるも問題ないと一蹴され、セカンドオピニオンで当院を受診。
顔貌所見 正貌はほぼ左右対称。側貌はconvex type、Nasolabial Angleは小さく口唇は突出しており、閉唇時には口唇閉鎖不全が顕著に認められた。
口腔内所見 over jet 4.0mm、over bite 2.0mm、臼歯関係Ⅰ級、犬歯関係Ⅱ級で上顎前歯は唇側傾斜を呈しており、上下顎前突の様相を呈していた。
X-Ray所見
セファロ所見 下顎枝、骨体部共に大きくしっかりとしており下顎角は平均的であった。中顔面部の高さは高く奥行きあもり、上下顎骨は調和のとれた骨格形態をしていた。
パノラマ所見 右上8は埋伏していた。右下4根尖部付近にセメント質腫様所見が認められた。
批評・予后・リスク
批評・予后 治療後、緊密な咬合の確立と共に大幅な切歯の後退によって主訴である口元の突出感と口唇閉鎖不全の改善が得られた。
リスク 通院間隔が長くなったり顎間ゴムの協力が得られないと予定の治療期間より延長したり仕上がりが不十分になる恐れがあります。
ブラッシングを怠ると虫歯のリスクが高くなります。