上下顎前突
(上下前歯の出っ歯)

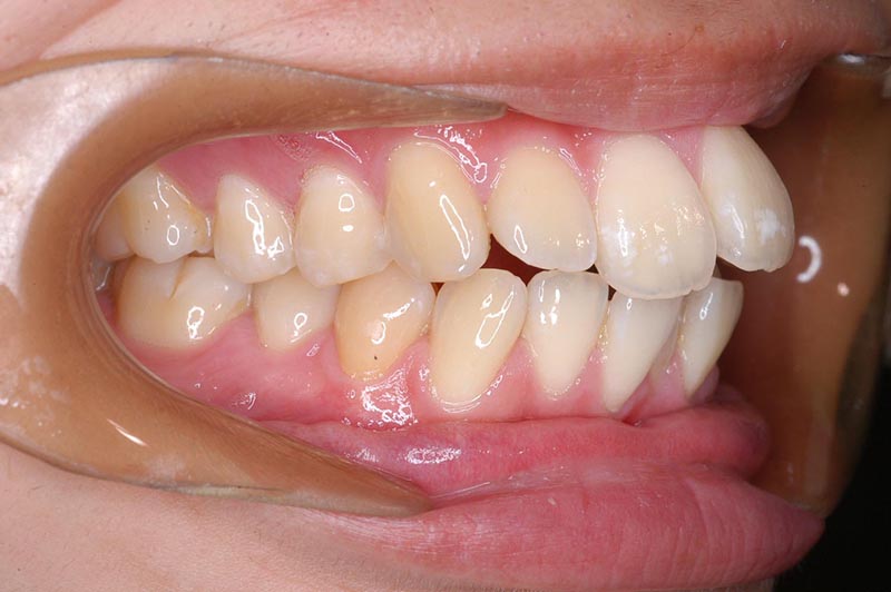
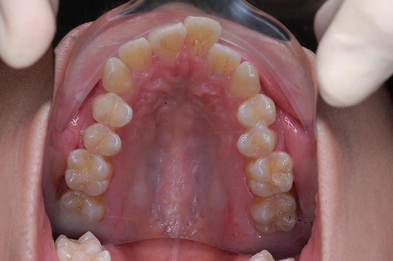
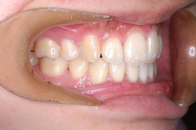
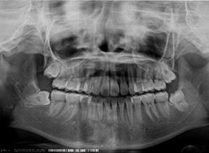
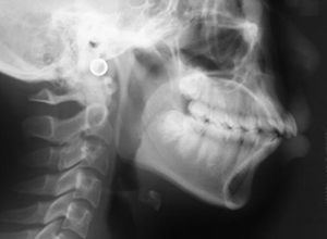
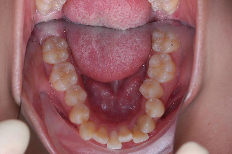
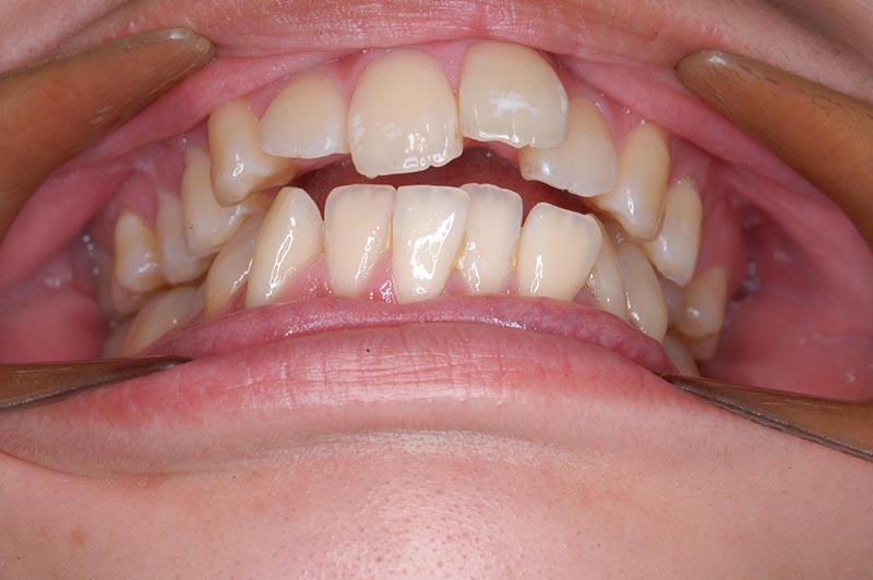
初診時

FP・IOP
X-Ray

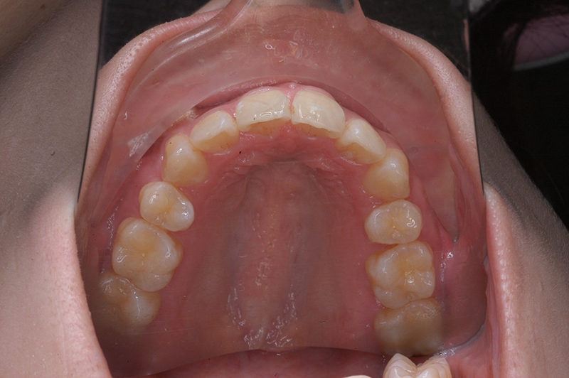
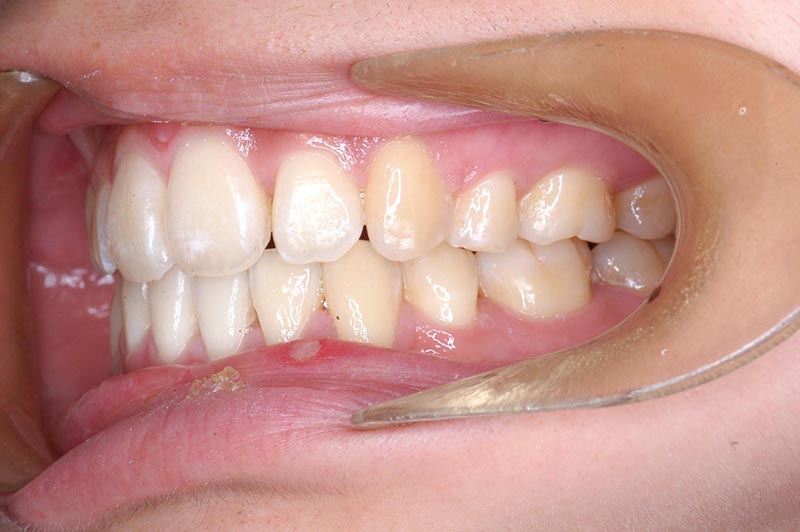
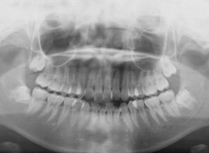
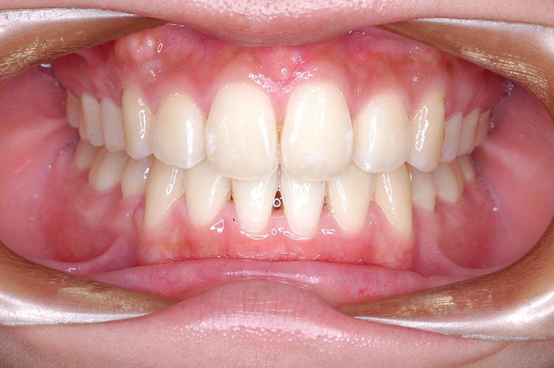
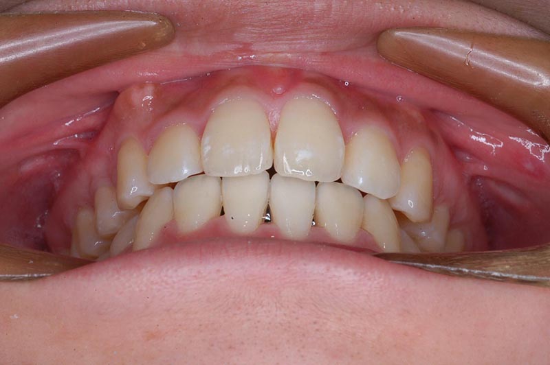
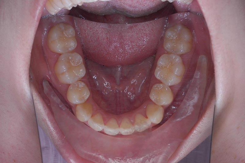
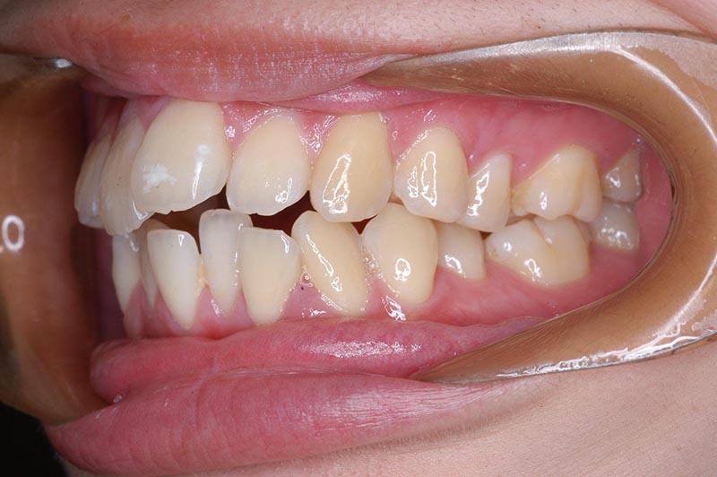
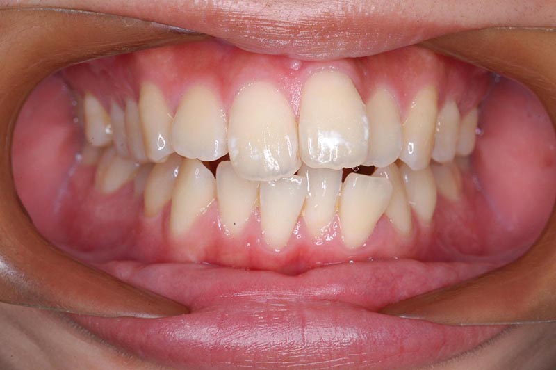
動的治療終了時

FP・IOP
X-Ray
主訴 口が閉じづらい 診断名 アングルⅠ級上下顎前突症例
初診時年齢 19歳5ヵ月 性別 動的治療期間 26ヵ月
抜歯部位
使用装置 0.018" × 0.025" standard edgewise
その他装置 -
口腔内ゴムの使用 12ヵ月
保定装置 上顎 Begg Type Retainer、下顎 Fix Type Retainer
治療費用(税別)
装置料 プラスチック(60万円) 処置料 1万円×26回
保定装置料 6万円 経過観察 3千円×10回
診断時の特記事項
顔貌所見 正貌は左右ほぼ対称、側貌はconvex typeで上下口唇の突出と口唇閉鎖不全が認められ、赤唇部は厚みがあった。
口腔内所見 大臼歯関係はⅠ級。顔面正中に対して上顎正中は一致しており、下顎正中は右側に偏位していた。上下顎前歯は大きく唇側傾斜し、overjetが7.8mmの上突咬合、両突歯列、叢生歯列弓であった。
X-Ray所見
セファロ所見 Sellaから下顎頭までの距離は短い。下顎枝、骨体部共に大きく下顎角はそれほど大きくはない。頭蓋底の前後的距離は短くなく、中顔面の奥行きもあるが、NasionからA点までの垂直的距離があるため、下顎はクロックワイズローテーションをしておりⅡ級傾向が認められた。上下顎前歯は唇側傾斜を呈していた。
パノラマ所見 上下顎左右側8は埋伏していた。
批評・予后・リスク
批評・予后 上顎大臼歯のアンカーロスも生じず、大幅な前歯舌側移動、咬合の緊密化、歯根のパラレリングは行えた。上下口唇形態は改善し、良好なプロファイルが得られた。
リスク 通院間隔が長くなったり顎間ゴムの協力が得られないと予定の治療期間より延長したり仕上がりが不十分になる恐れがあります。
ブラッシングを怠ると虫歯のリスクが高くなります。