上顎前突
(出っ歯)

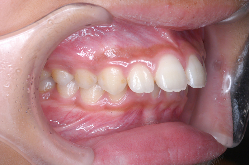
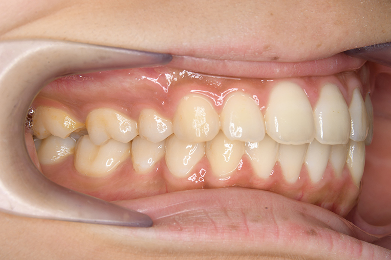
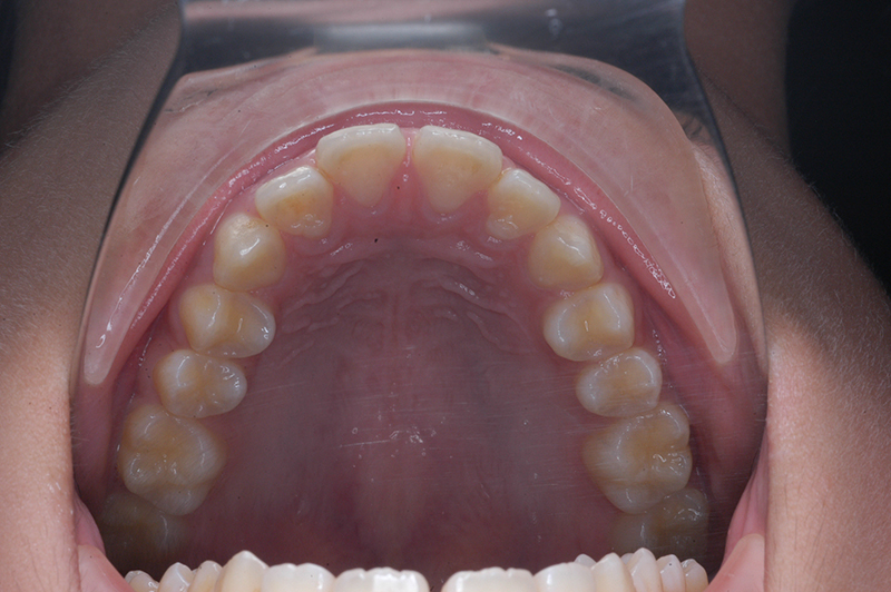
初診時

FP・IOP
X-Ray

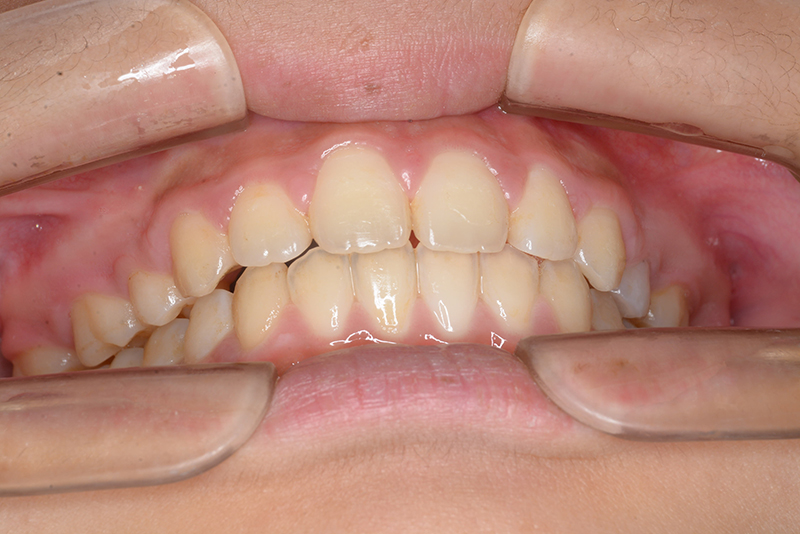
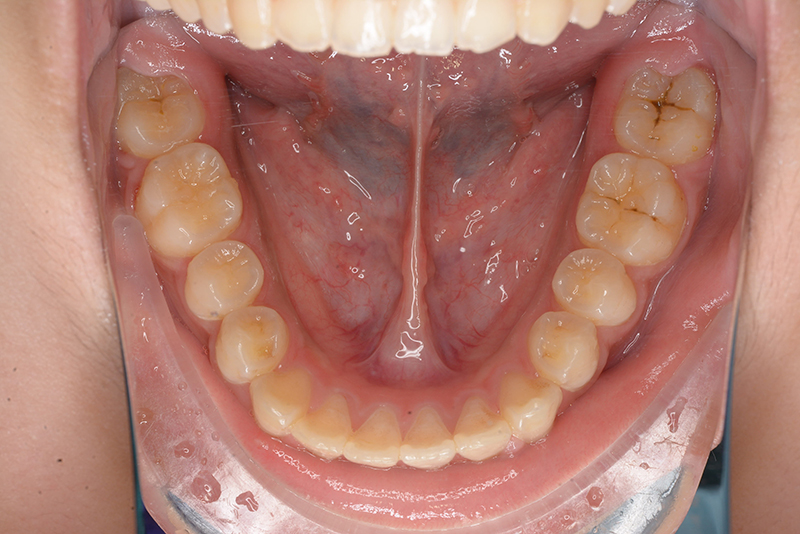
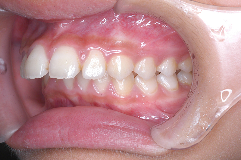
動的治療終了時

FP・IOP
X-Ray
主訴 出っ歯 診断名 アングルⅡ級1類
初診時年齢 10歳2ヵ月 性別 動的治療期間 23ヵ月
抜歯部位
使用装置 0.018" × 0.025" standard edgewise
その他装置 Palatal Arch
口腔内ゴムの使用 13ヵ月
保定装置 上顎 Begg Type Retainer、下顎 Begg Type Retainer
治療費用(税別)
装置料 金属(50万円) 処置料 1万円×23回
保定装置料 6万円 経過観察 3千円×10回
診断時の特記事項
顔貌所見 上唇の突出が著しく閉唇時には口腔周囲筋の緊張感が認められ、安寧時には上顎前歯が露出し下唇はその内側に入っており口唇間隙も大きくなっていた。
口腔内所見 大臼歯関係は右側がエンドオンのclassⅡ、左側がfull classⅡ。 上顎正中は下顎正中に対して僅かに右側偏位しており、上顎前歯は大きく唇側傾斜しover jetが11.0mmと上突咬合を呈していた。また下顎歯列の緩やかなスピーカーブのため過蓋咬合(over biteは5.0mm)となっていた。
X-Ray所見
セファロ所見 下顎骨はしっかりとしているが顎顔面の奥行きに比べて下顔面高さが低い。頭蓋に対して上顎骨は前方位にあり、上下顎骨の前後的位置関係のズレは大きかった。
批評・予后・リスク
批評・予后 上顎前歯舌側移動により上口唇形態は改善したこと、また動的治療中の下顎骨、特に下顎枝の成長が認められ下顔面高さは高くなったことが相俟って良好なプロファイルは得られたと思う。咬合の緊密化や歯根のパラレリングは行えたように思う。今後は第三大臼歯の萌出方向に注意を払い、頃合いを見計らって抜歯を検討している。
リスク 通院間隔が長くなったり顎間ゴムの協力が得られないと予定の治療期間より延長したり仕上がりが不十分になる恐れがあります。
ブラッシングを怠ると虫歯のリスクが高くなります。