下顎前突
(受け口・反対咬合)

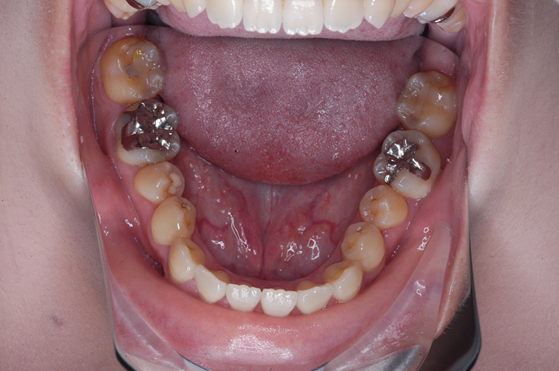
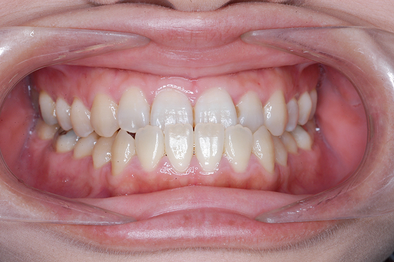
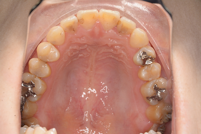
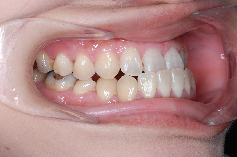
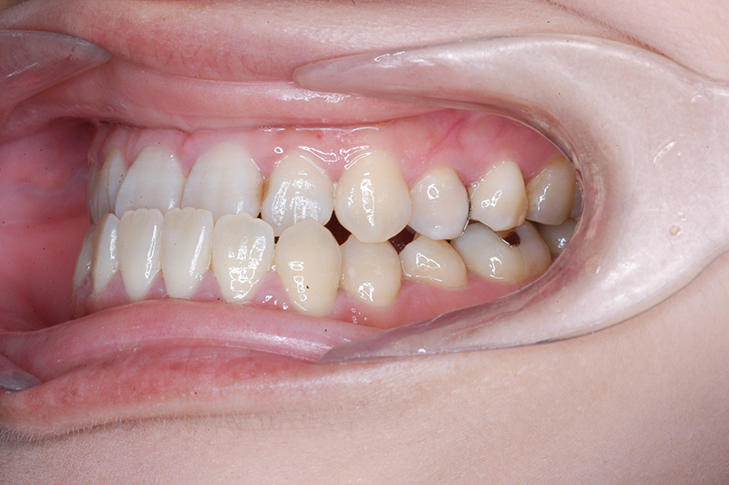
初診時

FP・IOP
X-Ray

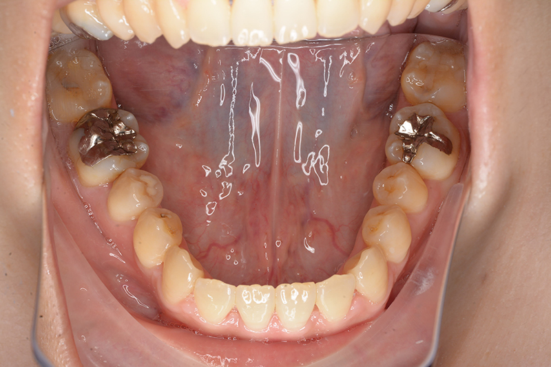
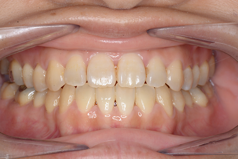
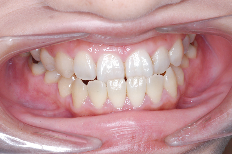
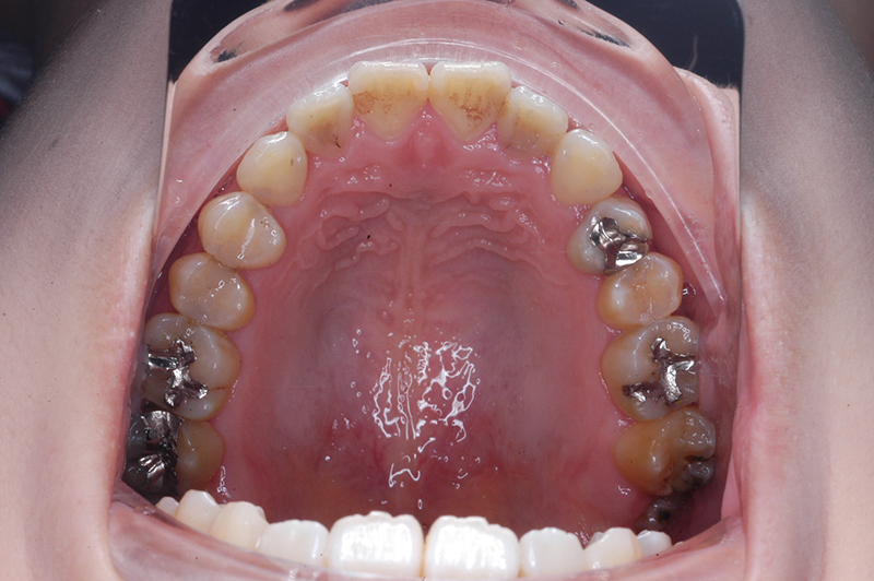
動的治療終了時

FP・IOP
X-Ray
主訴 受け口 診断名 アングルⅢ級反対咬合症例
初診時年齢 31歳6ヵ月 性別 動的治療期間 15ヵ月
抜歯部位
使用装置 0.018" × 0.025" standard edgewise
その他装置 -
口腔内ゴムの使用 9ヵ月
保定装置 上顎 Begg Type Retainer、下顎 Begg Type Retainer
治療費用(税別)
装置料 金属(50万円) 処置料 1万円×15回
保定装置料 6万円 経過観察 3千円×9回
診断時の特記事項
顔貌所見 正貌はほぼ左右対称、中顔面部は劣位であり側貌はcovave typeであった。
口腔内所見 臼歯関係はⅢ級、下顎歯列はスピーカーブによって前歯は舌側へ倒れこみつつ挺出しておりover jet-2.5mm、over bite3.0mmと反対咬合を呈していた。
X-Ray所見
セファロ所見 下顎頭はやや後方に位置しているが、下顎は大きく力強い形態をしており下顎角は平均的であるのに対して、中顔面部は奥行きがなく前後的には後方に位置づいており劣位であるため、下顔面高は低く垂直的にはShort face様骨格形態を呈していた。
パノラマ所見 上顎両側8が存在していた。下顎臼歯は近心傾斜が認められた。
批評・予后・リスク
批評・予后 ロウアングルのSkeletal Ⅲ級であり、下顎臼歯は近心傾斜しつつ7遠心部にはアップライトができるスペースがあると判断して、MEAWによる咬合平面の平坦化および可及的な下顎のカウンタークロックワイズローテーションによって改善を行うこととした。治療後には歯列の整直とⅠ級の咬合が得られた。(H30年9月現在で)保定開始4年経過しているが現在も咬合は安定している。
リスク 通院間隔が長くなったり顎間ゴムの協力が得られないと予定の治療期間より延長したり仕上がりが不十分になる恐れがあります。
ブラッシングを怠ると虫歯のリスクが高くなります。