過蓋咬合
(噛み合わせが深い)

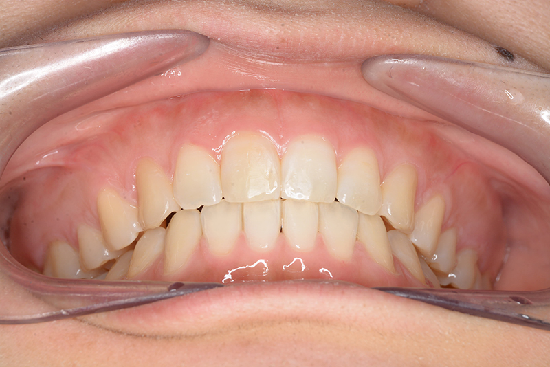
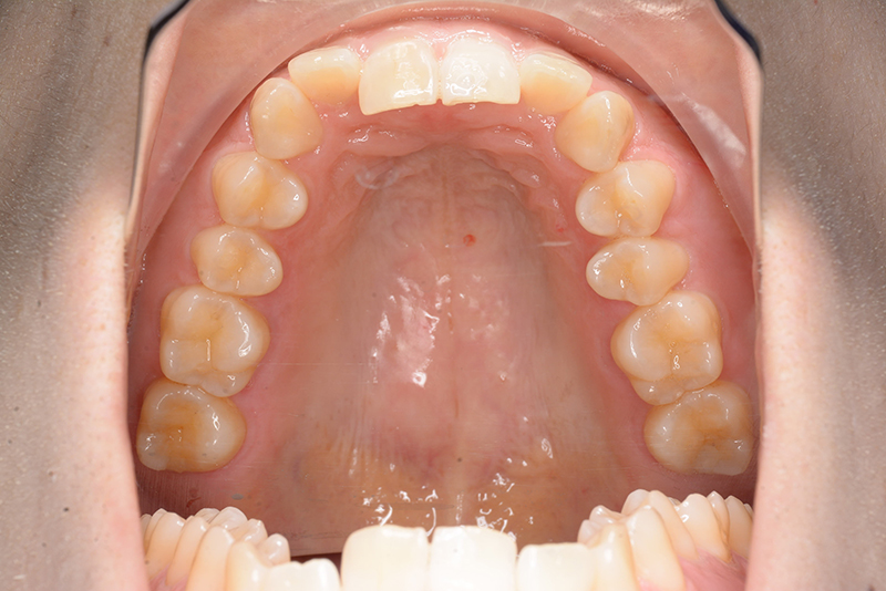
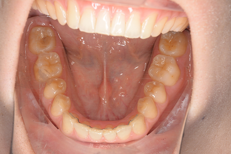
初診時

FP・IOP
X-Ray

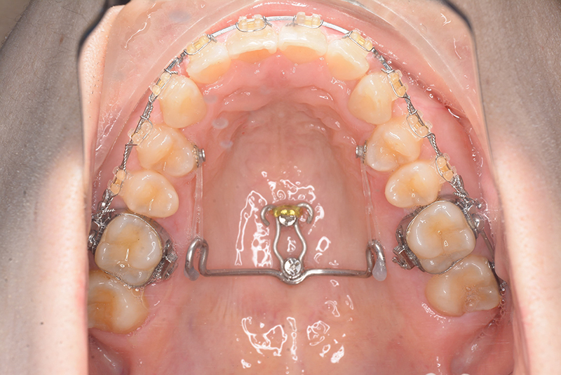
動的治療時(PLASによる上顎歯列遠心移動)

動的治療時
(PLASによる上顎歯列遠心移動)

IOP

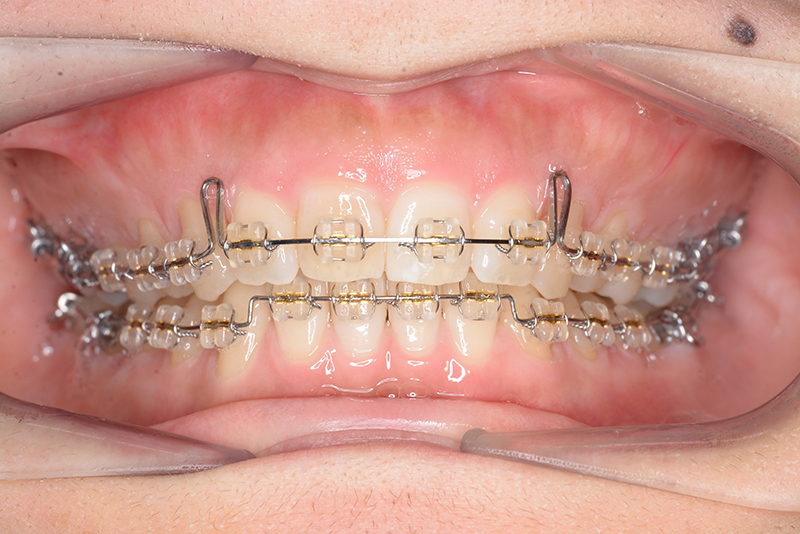
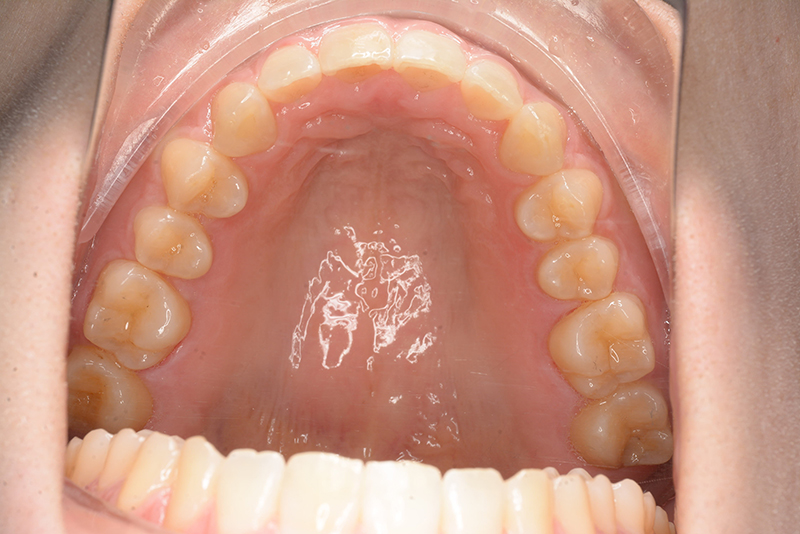
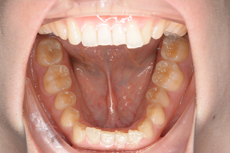
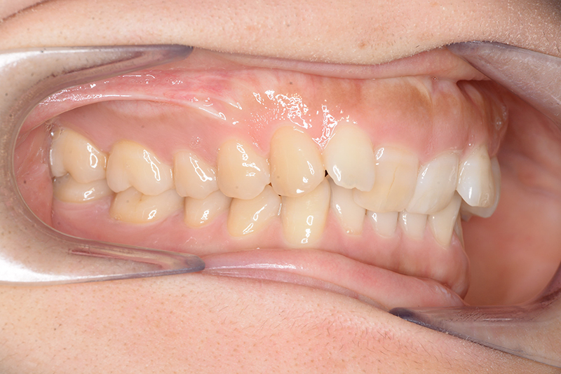
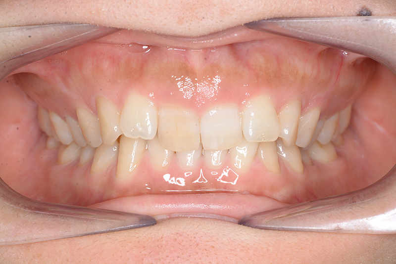
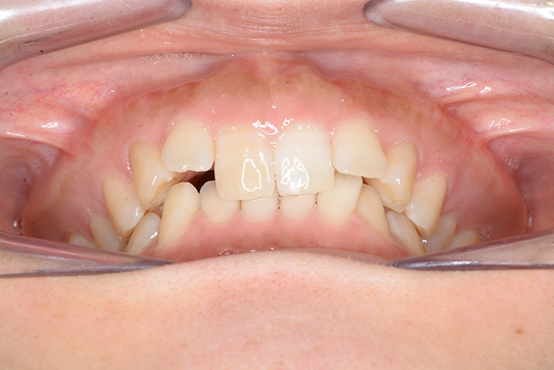
動的治療終了時

FP・IOP
X-Ray
主訴 噛み合わせが深い 診断名 アングルⅡ級2類症例
初診時年齢 33歳1ヵ月 性別 動的治療期間 15ヵ月
抜歯部位
使用装置 0.018" × 0.025" standard edgewise
その他装置 TAD(インプラントアンカー)PLAS
口腔内ゴムの使用 6ヵ月
保定装置 上顎 Begg Type Retainer、下顎 Fix Type Retainer
治療費用(税別)
装置料 プラスチック(60万円) 処置料 1万円×15回
保定装置料 6万円 経過観察 3千円×7回
診断時の特記事項
顔貌所見 側貌はstraight type、口唇は薄く引き締まっており、力強い口唇圧が伺えた。
口腔内所見 大臼歯、犬歯関係はⅡ級で、上顎中切歯は舌側傾斜しており、over jet1.5mm,over bite 6.0mmいわゆるⅡ級2類であった。
X-Ray所見
セファロ所見 Or-R平面からRは上方に位置づいている。中顔面部の奥行きはあるもののNasionからA点までは距離があるため、下顎は後下方へ回転している。
パノラマ所見 左右上5、左下5に歯根の湾曲が認められた。上下顎左右側8は抜去済みであった。
批評・予后・リスク
批評・予后 上顎臼歯は軽度に近心傾斜しつつ、歯列遠心部には奥行きがあり、下顎歯列には叢生は認められず、スピー湾曲も軽度であること。また軟組織上の問題もないため、上顎歯列の遠心移動による治療が妥当だと判断した。治療後において上顎歯列の遠心傾斜と共に下顎はカウンタークロックワイズローテーションをしながら咬合の緊密化が得られた。
リスク 通院間隔が長くなったり顎間ゴムの協力が得られないと予定の治療期間より延長したり仕上がりが不十分になる恐れがあります。
ブラッシングを怠ると虫歯のリスクが高くなります。