|
||
|
|
|
|
|
|
![]() |
![]() |
![]() |
|
||
|
|
|
|
|
|
![]() |
![]() |
![]() |
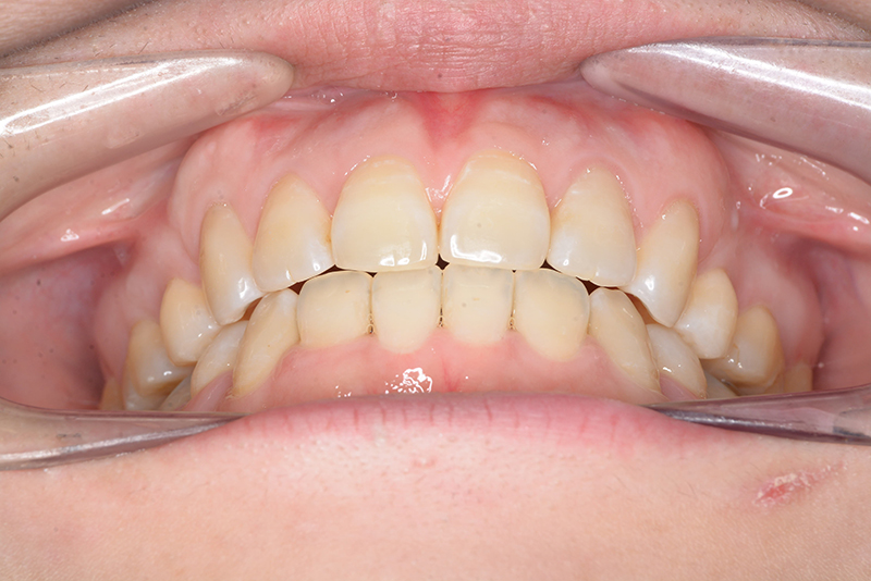
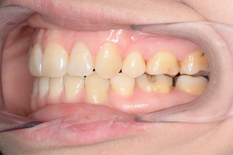
| 主訴 | 前歯で物が噛めない | 診断名 | アングルⅠ級開咬症例 | ||||
|---|---|---|---|---|---|---|---|
| 初診時年齢 | 37歳8ヵ月 | 性別 | 女 | 動的治療期間 | 23ヵ月 | ||
| 抜歯部位 | ![]() |
||||||
| 使用装置 | 0.018" × 0.025" standard edgewise | ||||||
| その他装置 | TAD(インプラントアンカー) | ||||||
| 口腔内ゴムの使用 | 11ヵ月 | ||||||
| 保定装置 | 上顎 Begg Type Retainer、下顎 Fix Type Retainer | ||||||
| 治療費用(税別) | |||
|---|---|---|---|
| 装置料 | プラスチック(60万円) | 処置料 | 1万円×23回 |
| 保定装置料 | 6万円 | 経過観察 | 3千円×8回 |
| 診断時の特記事項 | |
|---|---|
| 顔貌所見 | 顔面高は高く、面長で頤は尖っていた。オトガイは後退した印象があり側貌はconvex type、口唇閉鎖不全が認められた。 |
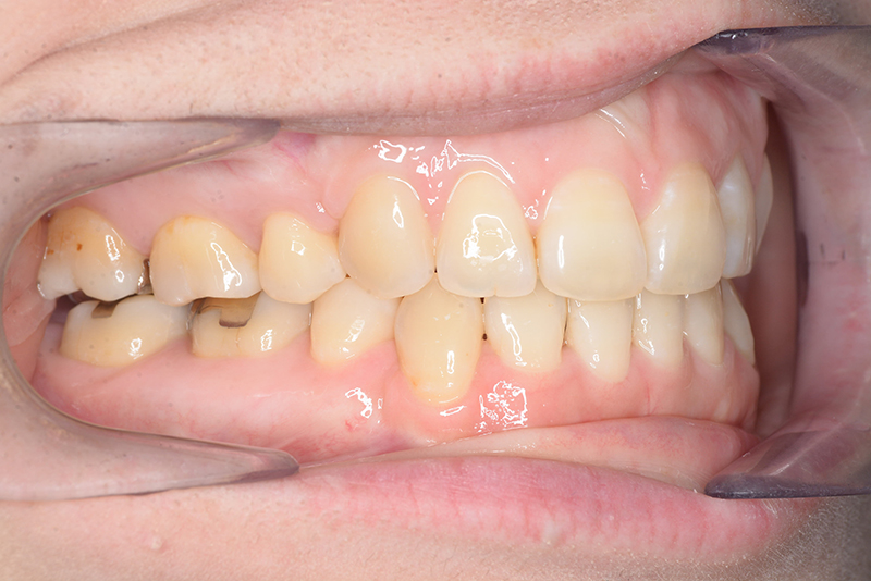
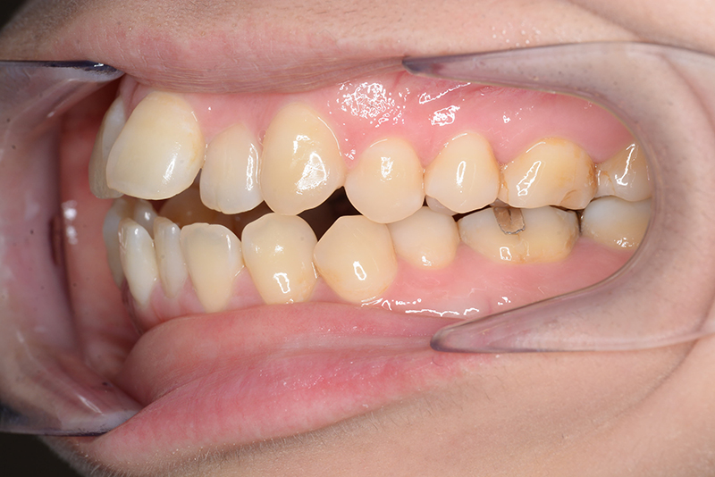
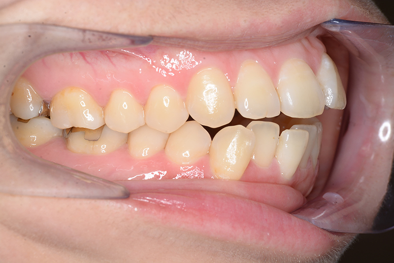
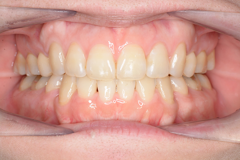
| 口腔内所見 | 臼歯関係はⅠ級、over jet 4.5mm、over bite -3.0mm。上下顎切歯部に軽度の叢生が認められ唇側傾斜をしつつ開咬を呈していた。 |
| X-Ray所見 | |
| セファロ所見 | Sellaから下顎頭までの距離は短く、骨体部は大きいが下顎枝の長さが短く、下顎角は開大しているためハイアングルを呈していた。中顔面部の高さは高いため下顎はクロックワイズローテーションをしており前後的にはII級の骨格形態を示していた。 |
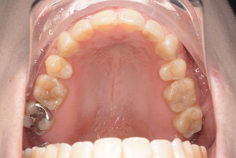
| パノラマ所見 | 上下顎左右側8は欠損していた。 |
| 批評・予后・リスク | |
| 批評・予后 | 治療後において下顎角の開大も認められず歯軸の整直、咬合の緊密化が得られた。また上下顎前歯の後退と共に口元の突出感と口唇閉鎖不全の改善が認められた。 |
| リスク | 通院間隔が長くなったり顎間ゴムの協力が得られないと予定の治療期間より延長したり仕上がりが不十分になる恐れがあります。 ブラッシングを怠ると虫歯のリスクが高くなります。 |