空隙歯列
(すきっ歯)

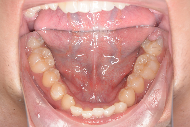
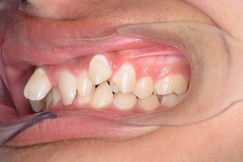
初診時

FP・IOP
X-Ray

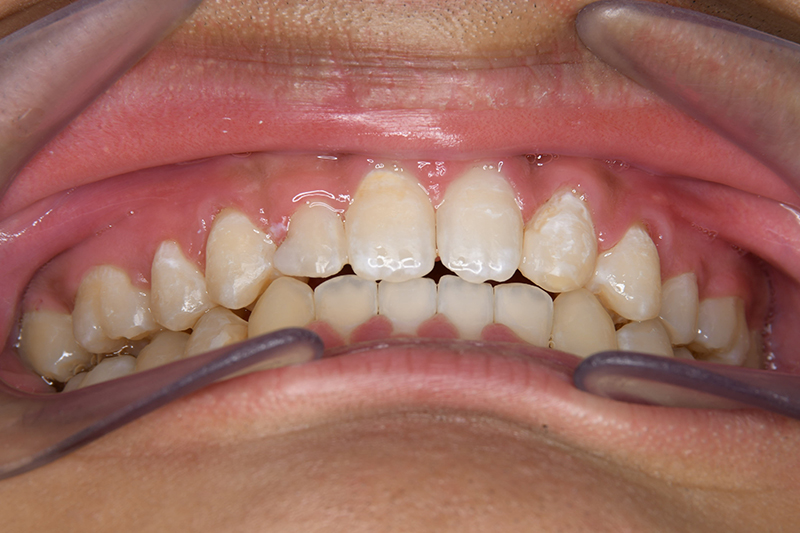
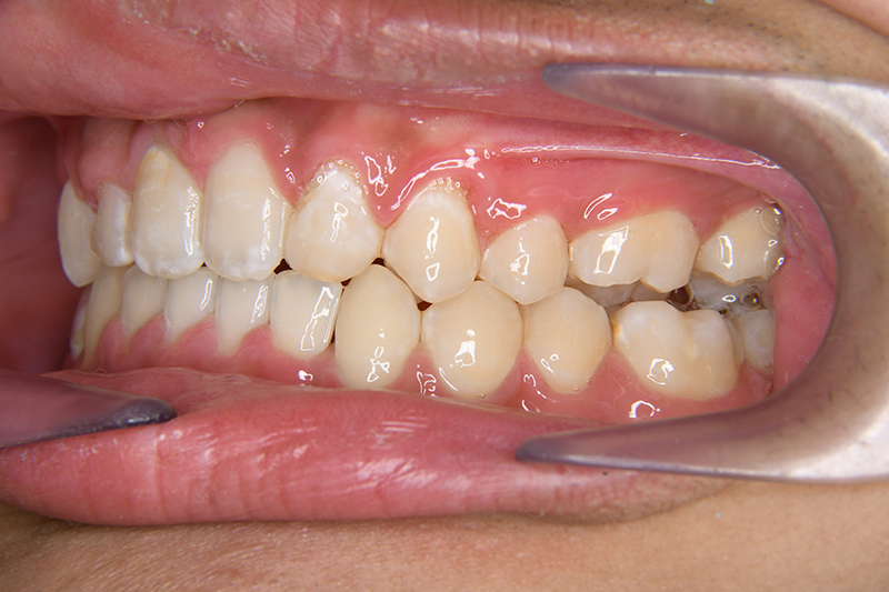
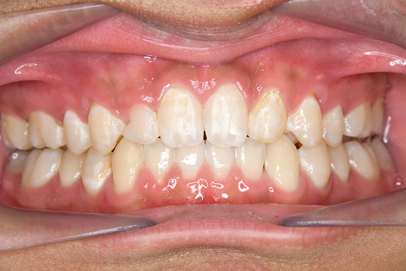
動的治療終了時

FP・IOP
X-Ray
主訴 すきっ歯 診断名 上顎右側犬歯先天欠如を伴うアングルⅡ級空隙歯列症例
初診時年齢 15歳5ヵ月 性別 動的治療期間 21ヵ月
抜歯部位
使用装置 0.018" × 0.025" standard edgewise
その他装置 -
口腔内ゴムの使用 13ヵ月
保定装置 上顎 Begg Type Retainer、下顎 Fix Type
治療費用(税別)
装置料 プラスチック(60万円) 処置料 1万円×21回
保定装置料 6万円 経過観察 3千円×8回
診断時の特記事項
顔貌所見 正貌は左側下顎枝が右側よりもやや長く左側へ偏位しており側貌はconcave typeを呈していた。
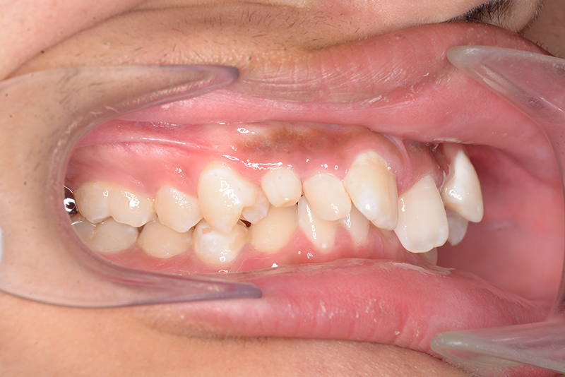
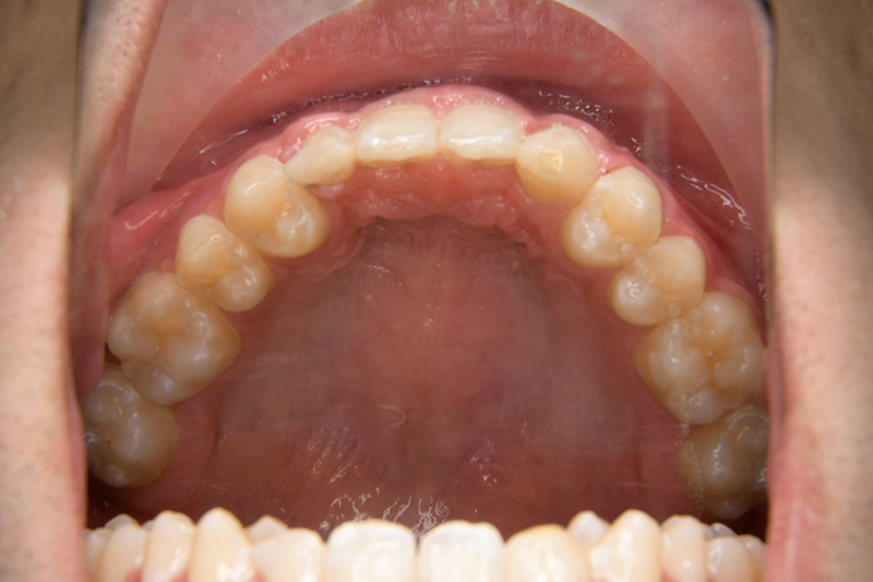
口腔内所見 over jet 8.0mm、over bite 8.0mmで下顎歯列はスピー湾曲が強く、過蓋咬合、上突歯列、叢生歯列を呈しており、臼歯関係はⅡ級、左側7は鋏状咬合となっていた 。上顎両側2は矮小歯で上顎右側Cは晩期残存をしていた。また上顎歯列は空隙歯列を呈していた。
X-Ray所見
セファロ所見 下顎骨は比較的バランスが良いもののセラに対して下顎等は後方に位置しており中顔面部の奥行きもあることから顔面高さは低くなっていた。
パノラマ所見 上下顎第三大臼歯は埋伏歯しており、上顎右側犬歯は先天欠如をしていた。
批評・予后・リスク
批評・予后 側貌はconcave typeであり、下顎歯列は叢生が少ないこと、右上3欠損、左右上2は矮小歯であることを考慮して右上C、左側2抜歯とした。治療後はアンテリアレシオの調和を図るべく右上2は暫間的修復(CR)にて歯冠幅径を大きくしている。保定終了後には同部位は最終補綴を装着する予定である。
リスク 通院間隔が長くなったり顎間ゴムの協力が得られないと予定の治療期間より延長したり仕上がりが不十分になる恐れがあります。
ブラッシングを怠ると虫歯のリスクが高くなります。