先天欠如
(永久歯の欠損)

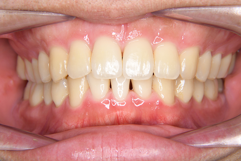
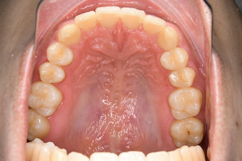
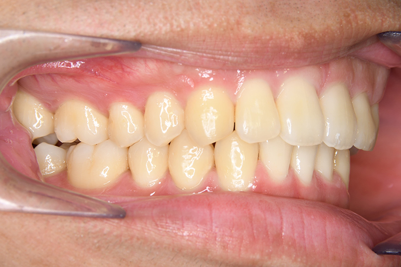
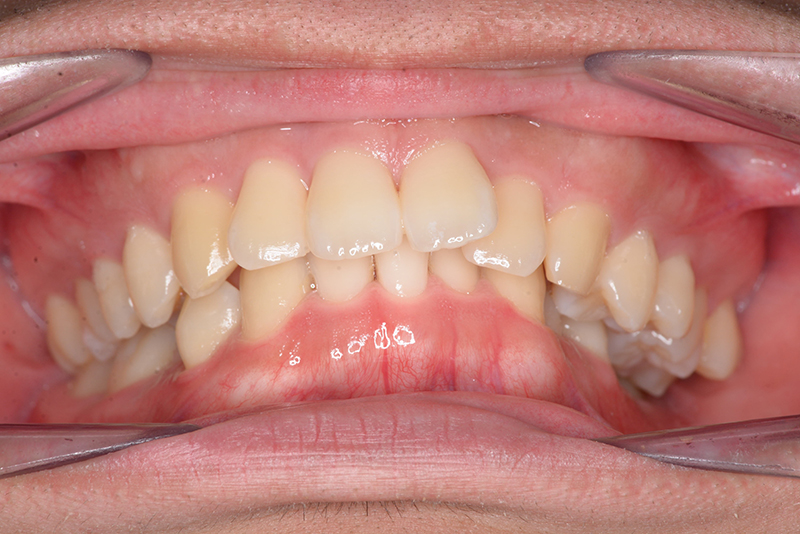
初診時

FP・IOP
X-Ray

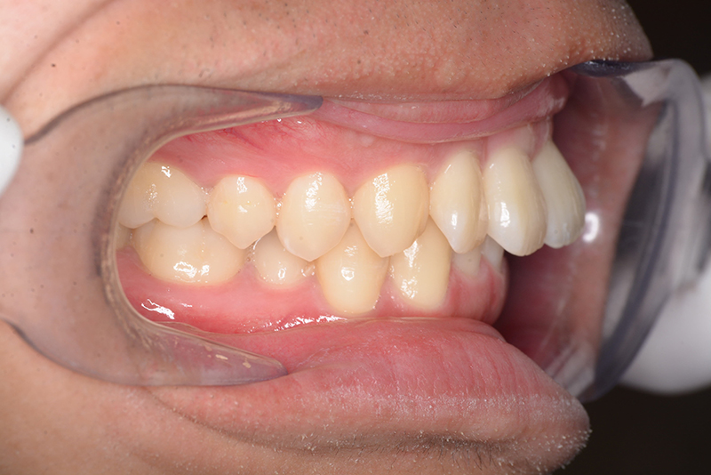
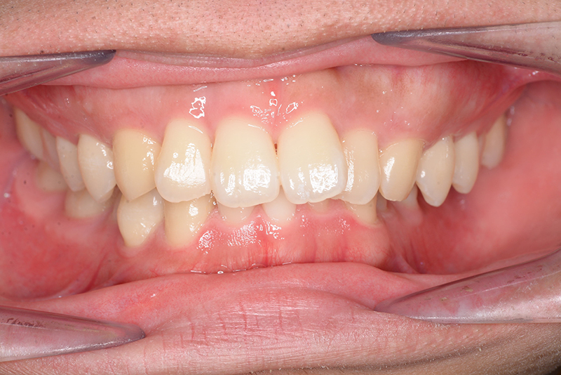
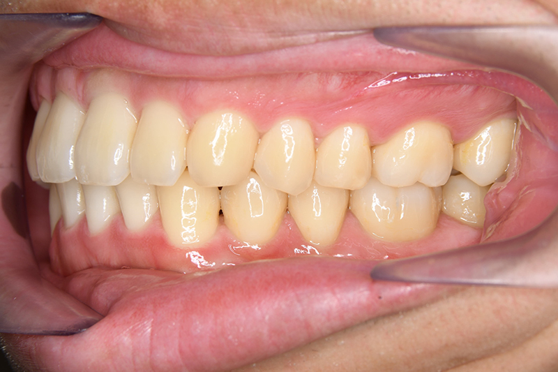
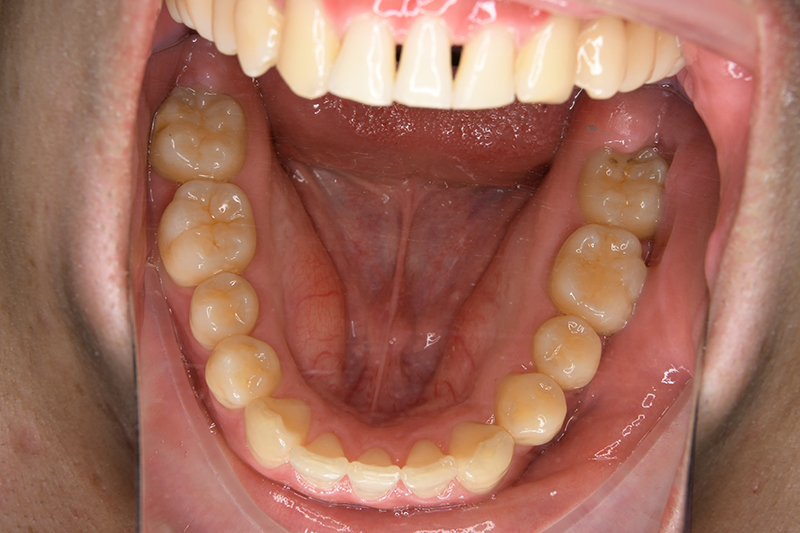
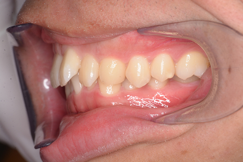
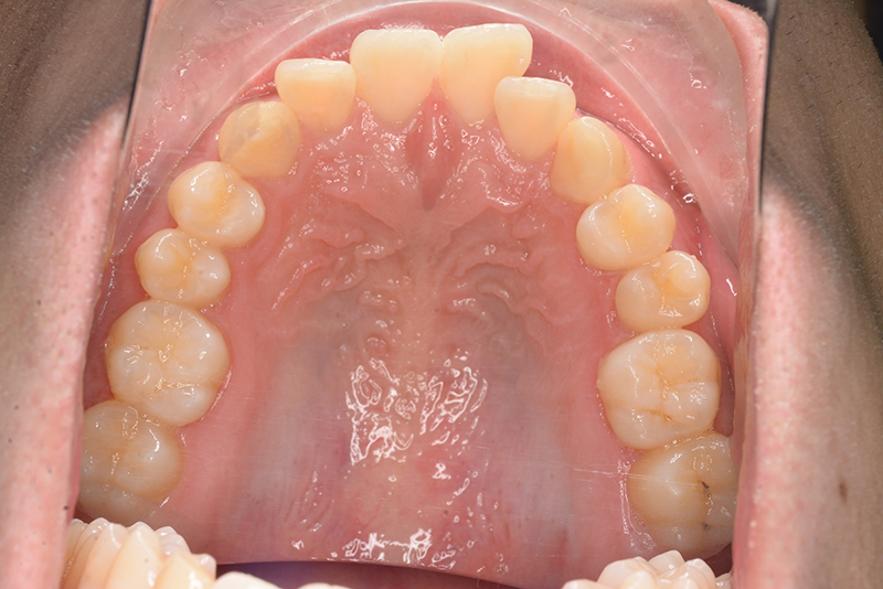
動的治療終了時

FP・IOP
X-Ray
主訴 物が噛みづらい 診断名 下顎右側側切歯先天欠如を伴う過蓋咬合症例
初診時年齢 15歳5ヵ月 性別 動的治療期間 18ヵ月
抜歯部位
使用装置 0.018" × 0.025" standard edgewise
その他装置 TAD(インプラントアンカー)PLAS
口腔内ゴムの使用 9ヵ月
保定装置 上顎 Begg Type Retainer、下顎 Fix Type
治療費用(税別)
装置料 プラスチック(60万円)
インプラントアンカー(3万円×2)
処置料 1万円×18回
保定装置料 6万円 経過観察 3千円×8回
診断時の特記事項
顔貌所見 顔面高は高く、面長で頤は尖っていた。側貌はconvex type、口唇閉鎖不全が認められた。
口腔内所見 over jet 8.5mm、over bite 6.0mm、下顎前歯先天欠如、右側臼歯関係I級、左側II級(end on)、上顎歯列弓はオーボイド型なのに対して、下顎は狭窄歯列、叢生歯列弓を呈しており左側は鋏状咬合となっていた。
X-Ray所見
セファロ所見 下顎 頭はやや後方に位置しており、下顎枝の長さに対して骨体部は大きく、下顎角は開大しているためハイアングルを呈していた。中顔面部の高さは高く奥行きもあった。前後的にはII級の骨格形態を示していた。
批評・予后・リスク
批評・予后 左側臼歯uprightによって鋏状咬合、過蓋咬合の改善が得られた。下顎前歯先欠によるAnterior ratio不調和と上顎前歯部叢生の改善を目的とし、上顎前歯にIPRを行ったが、治療後において左上2付近のover jetが大きく、上顎犬 歯間幅径の拡大(1.5mm)も生じているため、後戻りの懸念が残る。口元や歯列の安定性を考慮し、小臼歯抜歯も検討したがハイアングルであり下顎3-incisalのため、治療が困難となる事を危惧して非抜歯にて治療を行った。
リスク 通院間隔が長くなったり顎間ゴムの協力が得られないと予定の治療期間より延長したり仕上がりが不十分になる恐れがあります。
ブラッシングを怠ると虫歯のリスクが高くなります。