|
||
|
|
|
|
|
|
![]() |
![]() |
![]() |






|
||
|
|
|
|
|
|
![]() |
![]() |
![]() |
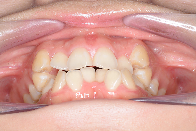
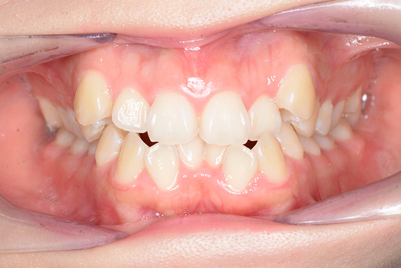
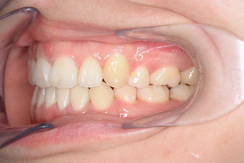
| 主訴 | 前歯のでこぼこ | 診断名 | アングルⅠ級叢生症例 | ||||
|---|---|---|---|---|---|---|---|
| 初診時年齢 | 24歳11ヵ月 | 性別 | 女 | 動的治療期間 | 20ヵ月 | ||
| 抜歯部位 | ![]() |
||||||
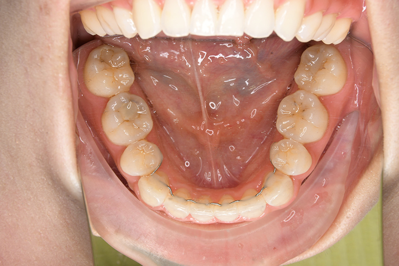
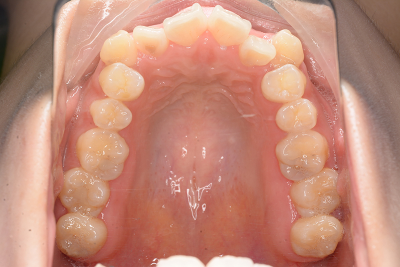
| 使用装置 | 上顎 : Clippy L 下顎 : 0.018" × 0.025" standard edgewise |
||||||
| その他装置 | TAD(インプラントアンカー) | ||||||
| 口腔内ゴムの使用 | 12ヵ月 | ||||||
| 保定装置 | 上顎 Begg Type Retainer、下顎 Fix Type Retainer | ||||||
| 治療費用(税別) | |||
|---|---|---|---|
| 装置料 | 舌側装置(上のみ)(95万円) | 処置料 | 1万円×20回 |
| 保定装置料 | 6万円 | 経過観察 | 3千円×10回 |
| 診断時の特記事項 | |
|---|---|
| 顔貌所見 | 正貌は左右対称。側貌はconvex type、口唇閉鎖不全が認められた。 |
| 口腔内所見 | over jet 4.5mm、over bite 4.0mm、大臼歯関係 I級で上下顎前歯部に叢生が認められた。 |
| X-Ray所見 | |
| セファロ所見 | 下顎枝、骨体部共に大きくしっかりとしており、バランスの良い形をしていた。上顎突出度は大きく、ANB6.0°と前後的にはⅡ級を呈していた。 |
| パノラマ所見 | 上顎両側第三大臼歯は存在して挺出が認められた。 |
| 批評・予后・リスク | |
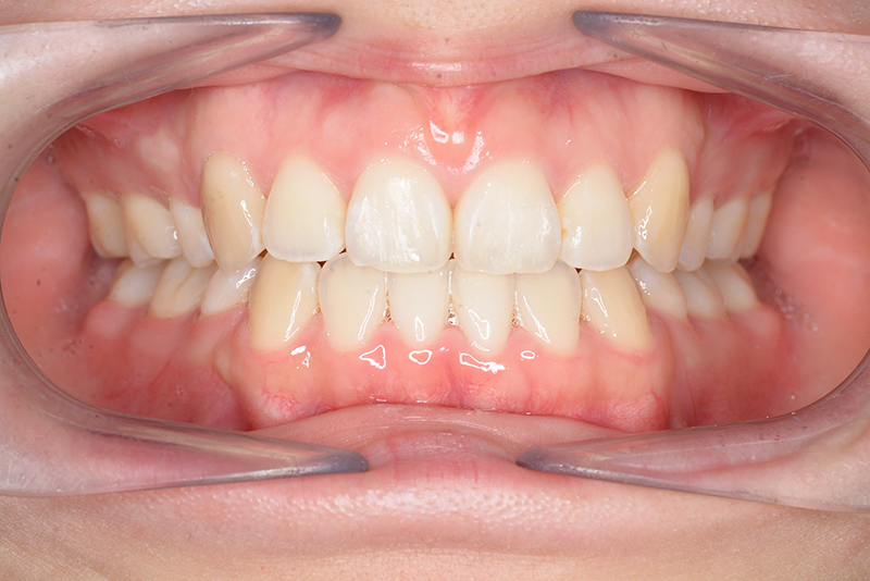
| 批評・予后 | 叢生が大きかった影響もあり、治療期間は20ヶ月と比較的短い期間が終了できた。治療後においては口元の改善、咬合の緊密化は達成できたように思う。 |
| リスク | 通院間隔が長くなったり顎間ゴムの協力が得られないと予定の治療期間より延長したり仕上がりが不十分になる恐れがあります。 ブラッシングを怠ると虫歯のリスクが高くなります。 |