舌側矯正
(上下顎、歯の裏側装置)

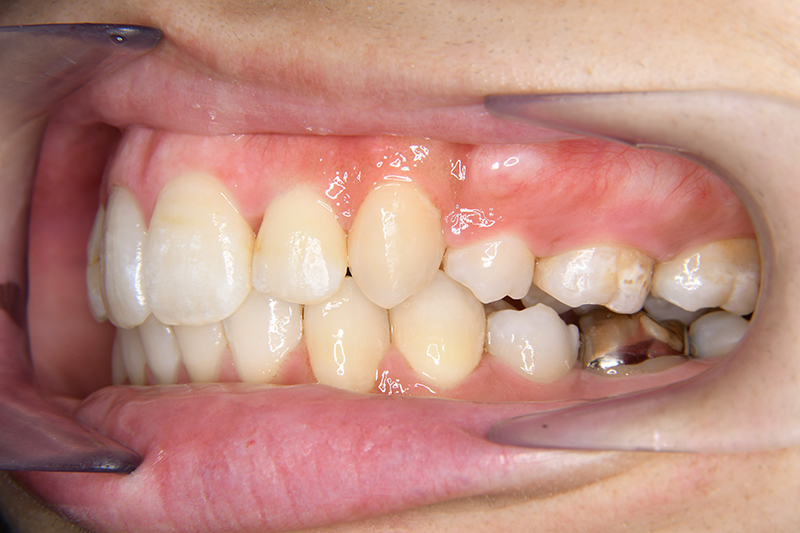
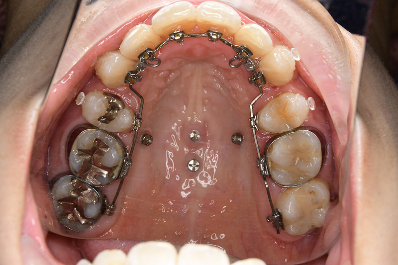
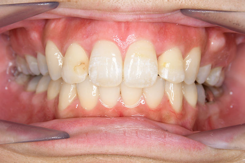
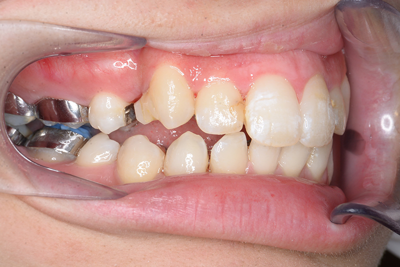
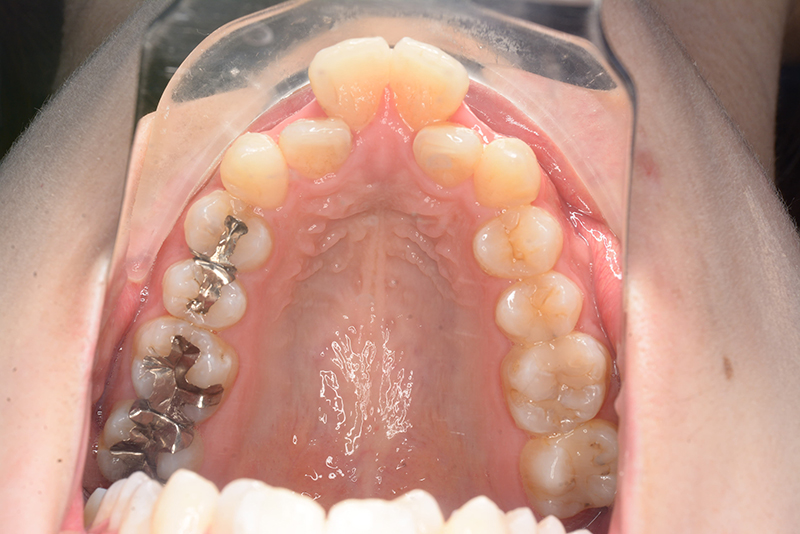
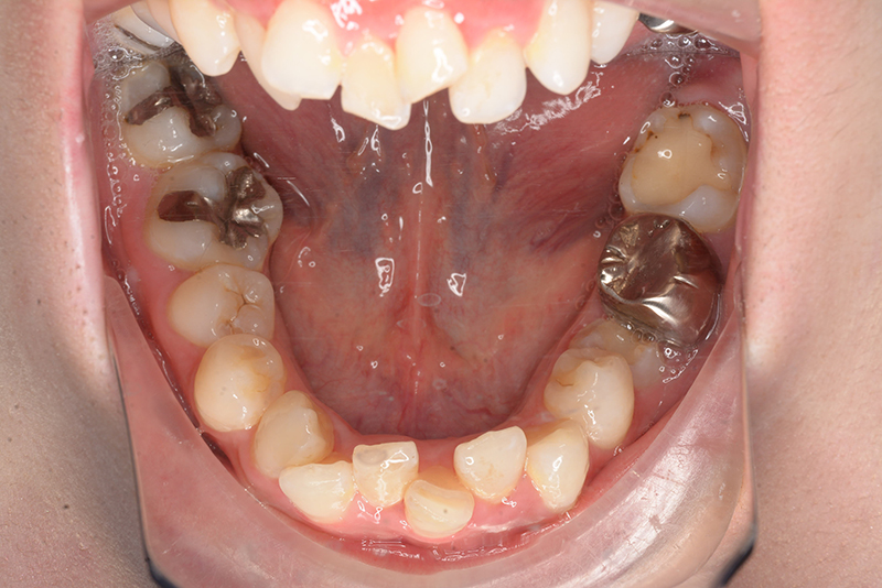
初診時

FP・IOP
X-Ray

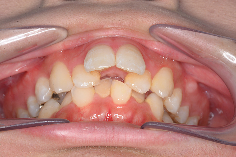
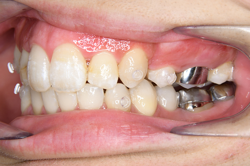
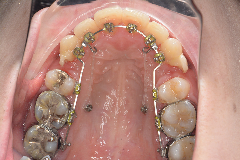
動的治療中のIOP(治療開始後6ヶ月)

動的治療中のIOP
(治療開始後6ヶ月)

IOP

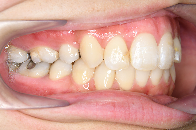
動的治療中のIOP(治療開始後12ヶ月)

動的治療中のIOP
(治療開始後12ヶ月)

IOP

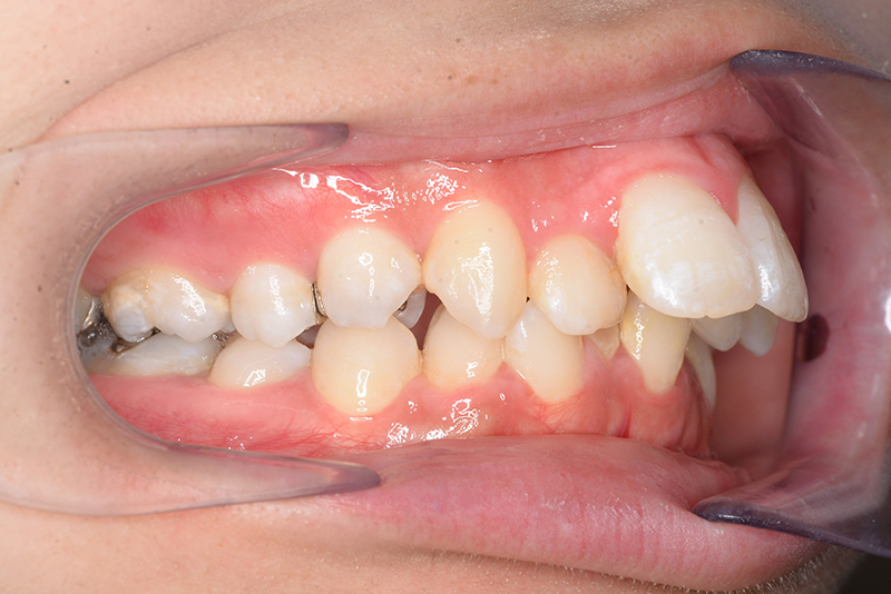
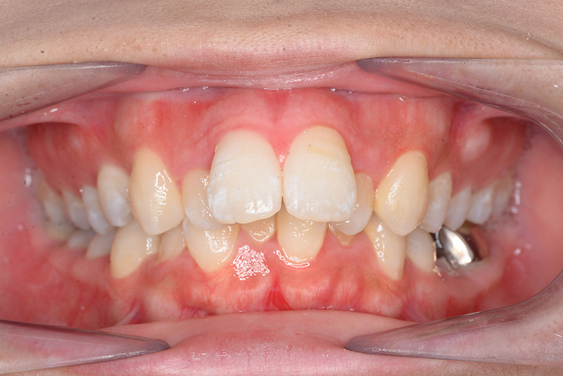
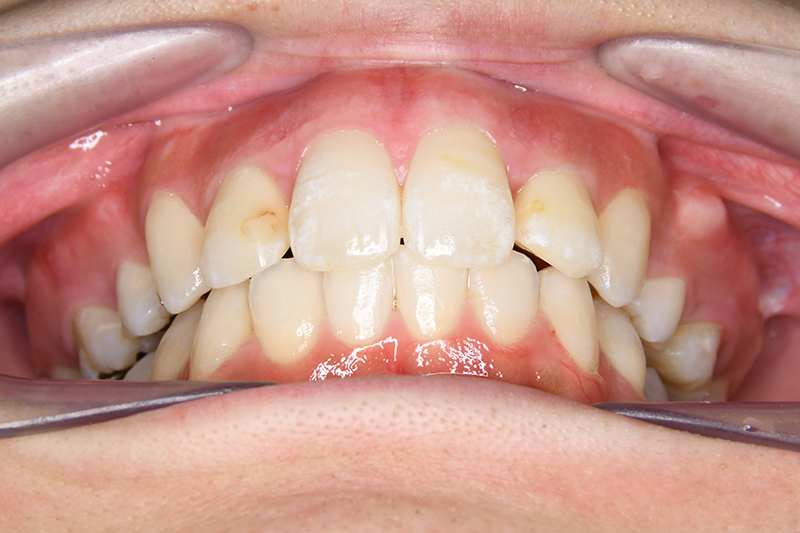
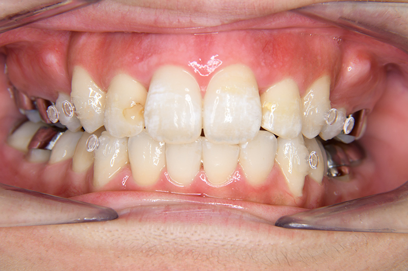
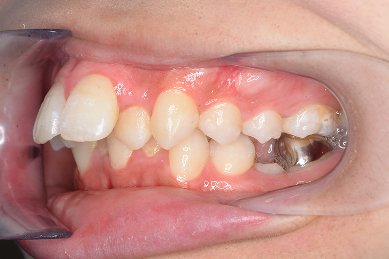
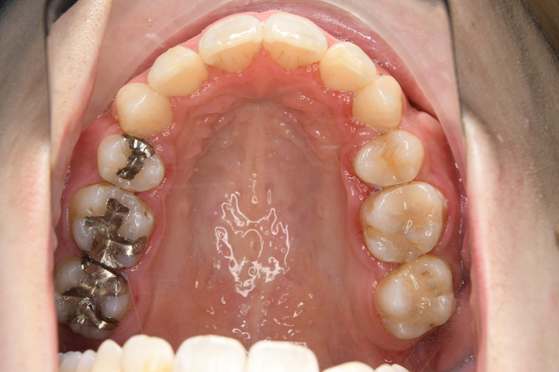
動的治療終了時

FP・IOP
X-Ray
主訴 出っ歯 診断名 アングルⅡ級2類
初診時年齢 24歳11ヵ月 性別 動的治療期間 20ヵ月
抜歯部位
使用装置 上顎 : Clippy L
下顎 : 0.018" × 0.025" standard edgewise
その他装置 TAD(インプラントアンカー)
口腔内ゴムの使用 12ヵ月
保定装置 上顎 Begg Type Retainer、下顎 Begg Type Retainer & Fix Type Retainer
治療費用(税別)
装置料 舌側装置(上下)(120万円) 処置料 1万円×20回
保定装置料 6万円 経過観察 3千円×10回
診断時の特記事項
顔貌所見 正貌はほぼ対象。側貌はconvex type、著しい口唇閉鎖不全が認められた。
口腔内所見 over jet 11.5mm、over bite 5.5mm、右側臼歯関係Full ClassⅡ級、左側end onⅡ級、上顎顎歯列はテーパー型であり、上顎中切歯は押し出されるように大きく唇側傾斜していた。下顎前歯部は叢生を呈しており、左下5は歯冠長が短く半埋伏していた。
X-Ray所見
セファロ所見 下顎骨体部は小さくないものの下顎枝は短く、下顎頭は後方に位置付き中顔面高は高いため、下顎はクロックワイズローテーションしており、前後的にはII級の骨格形態を示していた。
パノラマ所見 上下顎両側第三大臼歯は埋伏していた。下顎右側大臼歯から犬歯まで近心傾斜し、左側においては左下5を境に大臼歯は近心傾斜、近心の歯は遠心方向へ傾斜が認められた。
批評・予后・リスク
批評・予后 上顎前歯の可及的な後退と臼歯関係のⅡ級を保つためにアンカレッジコントロールはmaximumとしTADを使用してスライディングメカニクスにて前歯遠心移動を行った。また下顎はリンガルからのアプローチであったためその特性を生かし、臼歯のアップライトを速やかに達成して左下5の配列も予定通り行えた。また大幅な前歯の後退に伴い、軟組織の大幅な改善が認められたように思う。
リスク 通院間隔が長くなったり顎間ゴムの協力が得られないと予定の治療期間より延長したり仕上がりが不十分になる恐れがあります。
ブラッシングを怠ると虫歯のリスクが高くなります。